Antibody data
- Antibody Data
- Antigen structure
- References [16]
- Comments [0]
- Validations
- Western blot [1]
- Immunoprecipitation [1]
- Immunohistochemistry [2]
Submit
Validation data
Reference
Comment
Report error
- Product number
- 10029-1-Ig - Provider product page

- Provider
- Proteintech Group
- Proper citation
- Proteintech Cat#10029-1-Ig, RRID:AB_513929
- Product name
- Paxillin antibody
- Antibody type
- Polyclonal
- Description
- Paxillin antibody (Cat. #10029-1-Ig) is a rabbit polyclonal antibody that shows reactivity with human, mouse and has been validated for the following applications: IF, IHC, IP, WB, ELISA.
- Reactivity
- Human, Mouse
- Host
- Rabbit
- Conjugate
- Unconjugated
- Isotype
- IgG
- Vial size
- 20ul, 150ul
Submitted references Bioactive fiber-reinforced hydrogel to tailor cell microenvironment for structural and functional regeneration of myotendinous junction.
Equine β-defensin 1 regulates cytokine expression and phagocytosis in S. aureus-infected mouse monocyte macrophages via the Paxillin-FAK-PI3K pathway.
Mechanotransduction in response to ECM stiffening impairs cGAS immune signaling in tumor cells.
An ULK1/2-PXN mechanotransduction pathway suppresses breast cancer cell migration.
Impairment of rigidity sensing caused by mutant TP53 gain of function in osteosarcoma.
TM9SF4 is an F-actin disassembly factor that promotes tumor progression and metastasis.
DDX17 promotes the growth and metastasis of lung adenocarcinoma.
In Vivo and In Vitro Fibroblasts' Behavior and Capsular Formation in Correlation with Smooth and Textured Silicone Surfaces.
Essential Role of Sptan1 in Cochlear Hair Cell Morphology and Function Via Focal Adhesion Signaling.
ZC3H15 promotes glioblastoma progression through regulating EGFR stability.
Direct epitranscriptomic regulation of mammalian translation initiation through N4-acetylcytidine.
Structure-based discovery of a specific SHP2 inhibitor with enhanced blood-brain barrier penetration from PubChem database.
SphK1-driven autophagy potentiates focal adhesion paxillin-mediated metastasis in colorectal cancer.
Reduced intracellular chloride concentration impairs angiogenesis by inhibiting oxidative stress-mediated VEGFR2 activation.
Mitotic cell responses to substrate topological cues are independent of the molecular nature of adhesion.
Surface changes of nanotopography by carbon ion implantation to enhance the biocompatibility of silicone rubber: an in vitro study of the optimum ion fluence and adsorbed protein.
Sun Y, Sheng R, Cao Z, Liu C, Li J, Zhang P, Du Y, Mo Q, Yao Q, Chen J, Zhang W
Science advances 2024 Apr 26;10(17):eadm7164
Science advances 2024 Apr 26;10(17):eadm7164
Equine β-defensin 1 regulates cytokine expression and phagocytosis in S. aureus-infected mouse monocyte macrophages via the Paxillin-FAK-PI3K pathway.
Pei L, Hou Y, Feng Y, Li F, Su H, Zhang Y, Song Y, Liu K, Cao G
International immunopharmacology 2023 Oct;123:110793
International immunopharmacology 2023 Oct;123:110793
Mechanotransduction in response to ECM stiffening impairs cGAS immune signaling in tumor cells.
Liu Y, Yao X, Zhao Y, Fang D, Shi L, Yang L, Song G, Cai K, Li L, Deng Q, Li M, Luo Z
Cell reports 2023 Oct 31;42(10):113213
Cell reports 2023 Oct 31;42(10):113213
An ULK1/2-PXN mechanotransduction pathway suppresses breast cancer cell migration.
Liang P, Zhang J, Wu Y, Zheng S, Xu Z, Yang S, Wang J, Ma S, Xiao L, Hu T, Jiang W, Huang C, Xing Q, Kundu M, Wang B
EMBO reports 2023 Nov 6;24(11):e56850
EMBO reports 2023 Nov 6;24(11):e56850
Impairment of rigidity sensing caused by mutant TP53 gain of function in osteosarcoma.
Luo M, Huang M, Yang N, Zhu Y, Huang P, Xu Z, Wang W, Cai L
Bone research 2023 May 29;11(1):28
Bone research 2023 May 29;11(1):28
TM9SF4 is an F-actin disassembly factor that promotes tumor progression and metastasis.
Meng Z, Li Z, Xie M, Yu H, Jiang L, Yao X
Nature communications 2022 Sep 29;13(1):5728
Nature communications 2022 Sep 29;13(1):5728
DDX17 promotes the growth and metastasis of lung adenocarcinoma.
Liu X, Li L, Geng C, Wen S, Zhang C, Deng C, Gao X, Zhang G, He QY, Liu L
Cell death discovery 2022 Oct 22;8(1):425
Cell death discovery 2022 Oct 22;8(1):425
In Vivo and In Vitro Fibroblasts' Behavior and Capsular Formation in Correlation with Smooth and Textured Silicone Surfaces.
Huang SQ, Chen Y, Zhu Q, Zhang YM, Lei ZY, Zhou X, Fan DL
Aesthetic plastic surgery 2022 Jun;46(3):1164-1177
Aesthetic plastic surgery 2022 Jun;46(3):1164-1177
Essential Role of Sptan1 in Cochlear Hair Cell Morphology and Function Via Focal Adhesion Signaling.
Yao Q, Wang H, Chen H, Li Z, Jiang Y, Li Z, Wang J, Xing Y, Liu F, Yu D, Yin S
Molecular neurobiology 2022 Jan;59(1):386-404
Molecular neurobiology 2022 Jan;59(1):386-404
ZC3H15 promotes glioblastoma progression through regulating EGFR stability.
Hou J, Xu M, Gu H, Pei D, Liu Y, Huang P, Chang H, Cui H
Cell death & disease 2022 Jan 13;13(1):55
Cell death & disease 2022 Jan 13;13(1):55
Direct epitranscriptomic regulation of mammalian translation initiation through N4-acetylcytidine.
Arango D, Sturgill D, Yang R, Kanai T, Bauer P, Roy J, Wang Z, Hosogane M, Schiffers S, Oberdoerffer S
Molecular cell 2022 Aug 4;82(15):2797-2814.e11
Molecular cell 2022 Aug 4;82(15):2797-2814.e11
Structure-based discovery of a specific SHP2 inhibitor with enhanced blood-brain barrier penetration from PubChem database.
Ma Y, Li WY, Sun T, Zhang L, Lu XH, Yang B, Wang RL
Bioorganic chemistry 2022 Apr;121:105648
Bioorganic chemistry 2022 Apr;121:105648
SphK1-driven autophagy potentiates focal adhesion paxillin-mediated metastasis in colorectal cancer.
Wu JN, Lin L, Luo SB, Qiu XZ, Zhu LY, Chen D, Wei ED, Fu ZH, Qin MB, Liang ZH, Huang JA, Liu SQ
Cancer medicine 2021 Sep;10(17):6010-6021
Cancer medicine 2021 Sep;10(17):6010-6021
Reduced intracellular chloride concentration impairs angiogenesis by inhibiting oxidative stress-mediated VEGFR2 activation.
Li K, Liu YY, Lv XF, Lin ZM, Zhang TT, Zhang FR, Guo JW, Hong Y, Liu X, Lin XC, Zhou JG, Wu QQ, Liang SJ, Shang JY
Acta pharmacologica Sinica 2021 Apr;42(4):560-572
Acta pharmacologica Sinica 2021 Apr;42(4):560-572
Mitotic cell responses to substrate topological cues are independent of the molecular nature of adhesion.
Anastasiou O, Hadjisavva R, Skourides PA
Science signaling 2020 Feb 25;13(620)
Science signaling 2020 Feb 25;13(620)
Surface changes of nanotopography by carbon ion implantation to enhance the biocompatibility of silicone rubber: an in vitro study of the optimum ion fluence and adsorbed protein.
Li X, Zhou X, Chen Y, Yu S, Chen X, Xia X, Shi X, Zhang Y, Fan D
Journal of materials science. Materials in medicine 2017 Sep 15;28(10):167
Journal of materials science. Materials in medicine 2017 Sep 15;28(10):167
No comments: Submit comment
Supportive validation
- Submitted by
- Proteintech Group (provider)
- Main image

- Experimental details
- mouse brain tissue were subjected to SDS PAGE followed by western blot with 10029-1-Ig(PXN antibody) at dilution of 1:1000
- Sample type
- tissue
Supportive validation
- Submitted by
- Proteintech Group (provider)
- Main image

- Experimental details
- IP Result of anti-PXN (IP:10029-1-Ig, 3ug; Detection:10029-1-Ig 1:1000) with mouse brain tissue lysate 7500ug.
- Sample type
- tissue
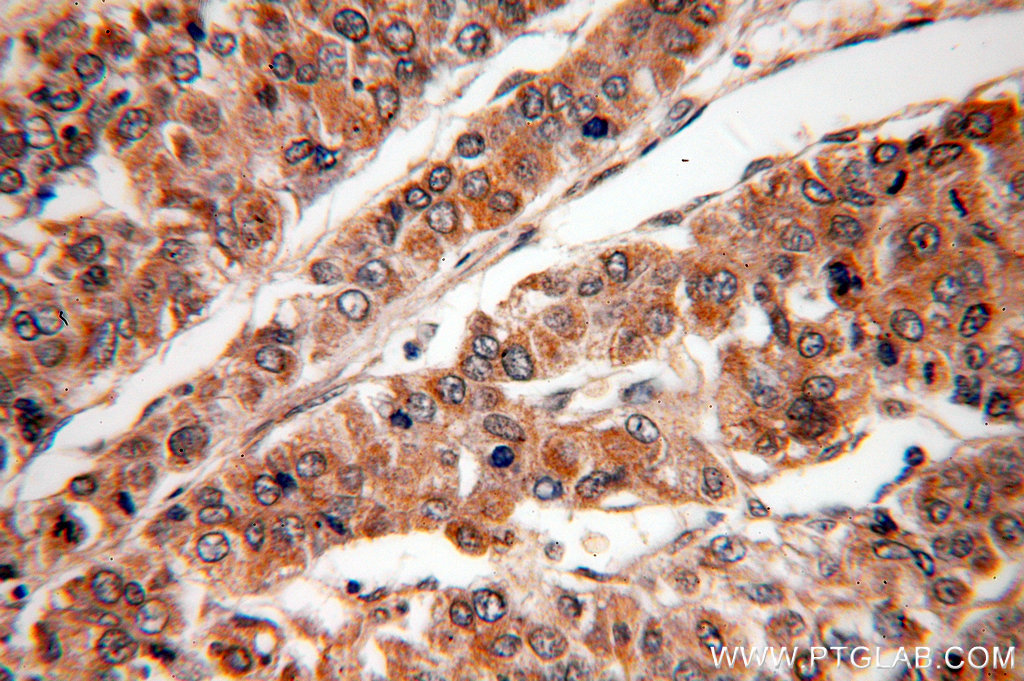
Supportive validation
- Submitted by
- Proteintech Group (provider)
- Main image

- Experimental details
- Immunohistochemical of paraffin-embedded human liver cancer using 10029-1-Ig(PXN antibody) at dilution of 1:50 (under 10x lens)
- Sample type
- tissue
- Submitted by
- Proteintech Group (provider)
- Main image

- Experimental details
- The Paxillin antibody from Proteintech is a rabbit polyclonal antibody to a recombinant protein of human Paxillin. This antibody recognizes human, mouse antigen. The Paxillin antibody has been validated for the following applications: ELISA, WB, IHC, IP analysis.