NBP2-02277
antibody from Novus Biologicals
Targeting: GRIPAP1
DKFZp434P0630, GRASP-1, GRASP1, KIAA1167, MPMGp800B12492Q3
Antibody data
- Antibody Data
- Antigen structure
- References [0]
- Comments [0]
- Validations
- Western blot [1]
- Immunohistochemistry [5]
- Flow cytometry [1]
Submit
Validation data
Reference
Comment
Report error
- Product number
- NBP2-02277 - Provider product page

- Provider
- Novus Biologicals
- Product name
- Mouse Monoclonal GRASP1 Antibody
- Antibody type
- Monoclonal
- Description
- Affinity purified.
- Reactivity
- Human
- Host
- Mouse
- Isotype
- IgG
- Vial size
- 0.1 ml
- Concentration
- 0.82 mg/ml
- Storage
- Store at -20C. Avoid freeze-thaw cycles.
No comments: Submit comment
Supportive validation
- Submitted by
- Novus Biologicals (provider)
- Main image

- Experimental details
- Western Blot: GRASP1 Antibody (1E3) [NBP2-02277] - HEK293T cells were transfected with the pCMV6-ENTRY control (Left lane) or pCMV6-ENTRY GRASP1 (Right lane) cDNA for 48 hrs and lysed. Equivalent amounts of cell lysates (5 ug per lane) were separated by SDS-PAGE and immunoblotted with anti-GRASP1.
Supportive validation
- Submitted by
- Novus Biologicals (provider)
- Main image

- Experimental details
- Immunohistochemistry-Paraffin: GRASP1 Antibody (1E3) [NBP2-02277] - Staining of paraffin-embedded breast tissue using anti-GRASP1 mouse monoclonal antibody.
- Submitted by
- Novus Biologicals (provider)
- Main image

- Experimental details
- Immunohistochemistry-Paraffin: GRASP1 Antibody (1E3) [NBP2-02277] - Staining of paraffin-embedded endometrium tissue using anti-GRASP1 mouse monoclonal antibody.
- Submitted by
- Novus Biologicals (provider)
- Main image

- Experimental details
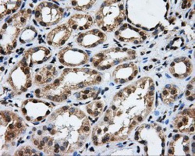
- Immunohistochemistry-Paraffin: GRASP1 Antibody (1E3) [NBP2-02277] - Staining of paraffin-embedded Kidney tissue using anti-GRASP1 mouse monoclonal antibody.
- Submitted by
- Novus Biologicals (provider)
- Main image

- Experimental details
- Immunohistochemistry-Paraffin: GRASP1 Antibody (1E3) [NBP2-02277] - Staining of paraffin-embedded Ovary tissue using anti-GRASP1 mouse monoclonal antibody.
- Submitted by
- Novus Biologicals (provider)
- Main image

- Experimental details
- Immunohistochemistry-Paraffin: GRASP1 Antibody (1E3) [NBP2-02277] - Staining of paraffin-embedded prostate tissue using anti-GRASP1 mouse monoclonal antibody.
Supportive validation
- Submitted by
- Novus Biologicals (provider)
- Main image

- Experimental details
- Flow Cytometry: GRASP1 Antibody (1E3) [NBP2-02277] - Analysis of Hela cells, using anti-GRASP1 antibody, (Red) compared to a nonspecific negative control antibody (Blue).