Antibody data
- Antibody Data
- Antigen structure
- References [0]
- Comments [0]
- Validations
- Western blot [2]
Submit
Validation data
Reference
Comment
Report error
- Product number
- P92-63R - Provider product page

- Provider
- SignalChem
- Product name
- Anti-PYK2
- Antibody type
- Polyclonal
- Antigen
- Other
- Description
- Purified by affinity chromatography
- Reactivity
- Human, Zebrafish
- Host
- Rabbit
- Epitope
- Synthetic peptide corresponding to amino acids 420-424 of human PYK2
- Vial size
- 100 µl
- Concentration
- 1 mg/ml
- Storage
- Store at 4°C (add 0.1% NaN3) for several months, and at -20°C for longer periods. For optimal storage, aliquot target into smaller quantities after centrifugation and store at recommended temperature. For optimal performance, avoid repeated handling and multiple freeze/thaw cycles.
No comments: Submit comment
Supportive validation
- Submitted by
- SignalChem (provider)
- Main image

- Experimental details
- Representative Western blot with Anti-PYK2 (1:1000) using 2ng of His-tagged human recombinant PYK2.
- Sample type
- Western Blot
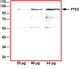
- Submitted by
- SignalChem (provider)
- Main image

- Experimental details
- Representative Western blot with Anti-PYK2 (1:1000) using 20 µg, 40 µg and 65 µg of Jurkat cell lysate.
- Sample type
- Western Blot