Antibody data
- Antibody Data
- Antigen structure
- References [0]
- Comments [0]
- Validations
- Western blot [2]
- ELISA [1]
- Immunocytochemistry [1]
- Immunohistochemistry [2]
- Flow cytometry [1]
Submit
Validation data
Reference
Comment
Report error
- Product number
- GTX60652 - Provider product page

- Provider
- GeneTex
- Product name
- STAT5A antibody [6D4]
- Antibody type
- Monoclonal
- Reactivity
- Human
- Host
- Mouse
No comments: Submit comment
Supportive validation
- Submitted by
- GeneTex (provider)
- Main image

- Experimental details
- WB analysis of (1) K562, (2) MOLT4, (3) HeLa, (4) Jurkat and (5) A431 lysates using STAT5A antibody [6D4].
- Submitted by
- GeneTex (provider)
- Main image

- Experimental details
- WB analysis of human STAT5A recombinant protein using STAT5A antibody [6D4].
Supportive validation
- Submitted by
- GeneTex (provider)
- Main image

- Experimental details
- ELISA analysis of control antigen and antigen using STAT5A antibody [6D4].
Supportive validation
- Submitted by
- GeneTex (provider)
- Main image

- Experimental details
- ICC/IF analysis of HeLa cells using STAT5A antibody [6D4] (green) and DRAQ5 fluorescent DNA dye (blue).
Supportive validation
- Submitted by
- GeneTex (provider)
- Main image

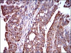
- Experimental details
- IHC-P analysis of rectum cancer tissues using STAT5A antibody [6D4].
- Submitted by
- GeneTex (provider)
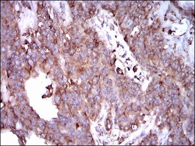
- Main image

- Experimental details
- IHC-P analysis of ovarian cancer tissues using STAT5A antibody [6D4].
Supportive validation
- Submitted by
- GeneTex (provider)
- Main image

- Experimental details
- FACS analysis of K562 cells using STAT5A antibody [6D4] (green) or a negative control (red).