Antibody data
- Antibody Data
 - Antigen structure
 - References [0]
 - Comments [0]
 - Validations
 - Western blot [2]
 - Immunohistochemistry [1]
 - Other assay [1]
 
Submit
Validation data
Reference
Comment
Report error
- Product number
 - PA5-80699 - Provider product page

 - Provider
 - Invitrogen Antibodies
 - Product name
 - Anti-HTRA2 Polyclonal Antibody
 - Antibody type
 - Polyclonal
 - Antigen
 - Recombinant full-length protein
 - Description
 - This product is preservative free. It is recommended to add sodium azide to avoid contamination (final concentration 0.05%-0.1%). This antibody has specificity for Human HtrA2.
 - Reactivity
 - Human
 - Host
 - Rabbit
 - Isotype
 - IgG
 - Vial size
 - 100 µL
 - Concentration
 - Lot-Specific
 - Storage
 - Maintain refrigerated at 2-8°C for up to 1 month. For long term storage store at -20°C
 
				No comments: Submit comment	
	
			
							
					Supportive validation
					
									
				
				- Submitted by
 - Invitrogen Antibodies (provider)
 - Main image
 
- Experimental details
 - Western blot analysis of HTRA2 in Lane A: HL60 Whole Cell Lysate (30 µg), Lane B: Jurkat Whole Cell Lysate (30 µg), Lane C: Hela Whole Cell Lysate (30 µg). Samples were probed using a HTRA2 Polyclonal Antibody (Product # PA5-80699) at a 1:500 dilution, followed by a Goat Anti-Rabbit IgG (H+L), Dylight 800 at a 1:10000 dilution. Western blot was performed under reducing conditions. Predicted band size:49 kDa. Observed band size:37 kDa.
 
- Submitted by
 - Invitrogen Antibodies (provider)
 - Main image
 
- Experimental details
 - Western Blot using HTRA2 Polyclonal Antibody (Product # PA5-80699) at 1:500 dilution. Lane A: HL60 Whole Cell Lysate, Lane B: Jurkat Whole Cell Lysate, Lane C: Hela Whole Cell Lysate. Lysates/proteins at 30 μg per lane. Secondary Goat Anti- RabbitIgG H&L (DyLight™ 800) at 1:10,000 dilution. Developed using the Odyssey technique. Performed under reducing conditions. Predicted band size: 49 kDa. Observed band size: 37 kDa.
 
							
					Supportive validation
					
									
				
				- Submitted by
 - Invitrogen Antibodies (provider)
 - Main image
 
- Experimental details
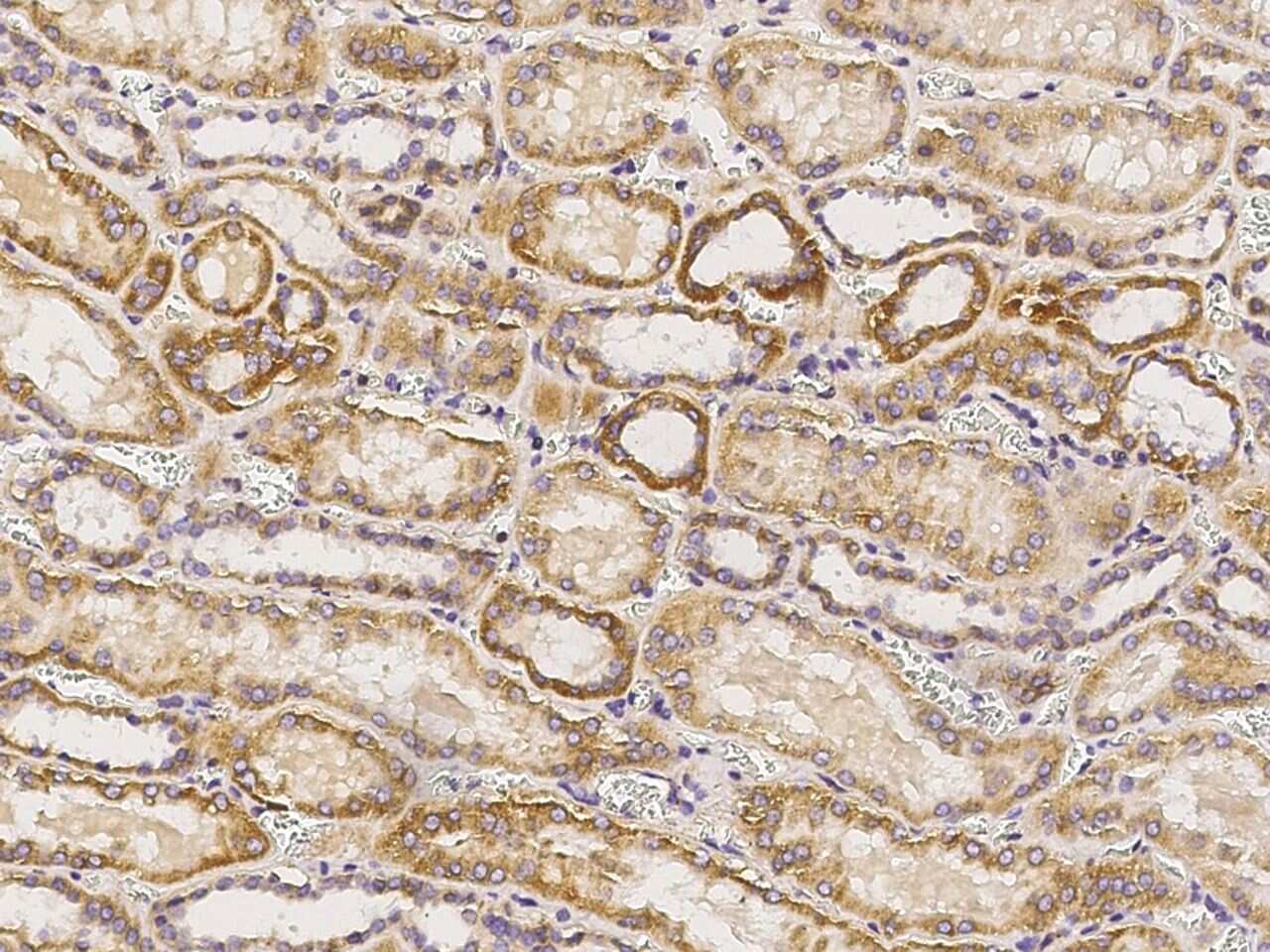
 - Immunohistochemical staining of human HTRA2 in human kidney with HTRA2 Polyclonal Antibody (Product # PA5-80699, 1:5,000 dilution, formalin-fixed paraffin embedded sections).
 
							
					Supportive validation
					
									
				
		- Submitted by
 - Invitrogen Antibodies (provider)
 - Main image
 
- Experimental details
 - HTRA2 Immunoprecipitation using: Lane A: 0.5 mg Jurkat Whole Cell Lysate 0.5 µL with HTRA2 Polyclonal Antibody (Product # PA5-80699) and 15 µL of 50 % Protein G agarose. Primary antibody: HTRA2 Polyclonal Antibody, at 1:500 dilution. Secondary antibody: Clean-Bloto IP Detection Reagent (HRP) at 1:1,000 dilution. Developed using the DAB staining technique. Performed under reducing conditions. Predicted band size: 37 kDa. Observed band size: 37 kDa.