Antibody data
- Antibody Data
- Antigen structure
- References [0]
- Comments [0]
- Validations
- Western blot [1]
- Immunocytochemistry [1]
- Immunohistochemistry [1]
- Flow cytometry [1]
Submit
Validation data
Reference
Comment
Report error
- Product number
- TA501104 - Provider product page

- Provider
- OriGene
- Proper citation
- OriGene Cat#TA501104, RRID:AB_11124560
- Product name
- Anti-PRKAR2A (PKA R2 ) mouse monoclonal antibody, clone OTI1G7 (formerly 1G7)
- Antibody type
- Monoclonal
- Description
- Anti-PRKAR2A (PKA R2 ) mouse monoclonal antibody, clone OTI1G7 (formerly 1G7)
- Host
- Mouse
- Conjugate
- Unconjugated
- Epitope
- PRKAR2A
- Isotype
- IgG
- Antibody clone number
- OTI1G7
- Vial size
- 100 µl
- Concentration
- 0.74 mg/ml
No comments: Submit comment
Supportive validation
- Submitted by
- OriGene (provider)
- Main image

- Experimental details
- HEK293T cells were transfected with the pCMV6-ENTRY control (Left lane) or pCMV6-ENTRY PRKAR2A (RC220376, Right lane) cDNA for 48 hrs and lysed. Equivalent amounts of cell lysates (5 ug per lane) were separated by SDS-PAGE and immunoblotted with anti-PRKAR2A.
- Validation comment
- WB
Supportive validation
- Submitted by
- OriGene (provider)
- Main image

- Experimental details
- Anti-PRKAR2A mouse monoclonal antibody (TA501104) immunofluorescent staining of COS7 cells transiently transfected by pCMV6-ENTRY PRKAR2A(RC220376).
- Validation comment
- IF
Supportive validation
- Submitted by
- OriGene (provider)
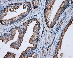
- Main image

- Experimental details
- Immunohistochemical staining of paraffin-embedded prostate tissue within the normal limits using anti-PRKAR2A mouse monoclonal antibody. (Heat-induced epitope retrieval by 10mM citric buffer, pH6.0, 100C for 10min, TA501104, Dilution 1:50)
- Validation comment
- IHC
Supportive validation
- Submitted by
- OriGene (provider)
- Main image

- Experimental details
- HEK293T cells transfected with either RC220376 overexpress plasmid(Red) or empty vector control plasmid(Blue) were immunostained by anti-PRKAR2A antibody(TA501104), and then analyzed by flow cytometry.
- Validation comment
- FC