Antibody data
- Antibody Data
- Antigen structure
- References [0]
- Comments [0]
- Validations
- Western blot [2]
- Immunohistochemistry [3]
Submit
Validation data
Reference
Comment
Report error
- Product number
- ABIN6213662 - Provider product page 
- Provider
- antibodies-online
- Product name
- anti-BCL2-Antagonist/killer 1 (BAK1) (N-Term) antibody
- Antibody type
- Polyclonal
- Description
- Affinity purification
- Reactivity
- Human, Mouse, Rat
- Host
- Rabbit
- Epitope
- N-Term
- Isotype
- IgG
- Vial size
- 20 μL
- Storage
- -20°C/-80°C
- Handling
- Avoid freeze / thaw cycles
				No comments: Submit comment	
	
			
							
					Supportive validation
					
									
				
				- Submitted by
- antibodies-online (provider)
- Main image
 
- Experimental details
- WB
- Submitted by
- antibodies-online (provider)
- Main image
 
- Experimental details
- WB
							
					Supportive validation
					
									
				
		- Submitted by
- antibodies-online (provider)
- Main image
 
- Experimental details
- IHC
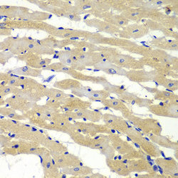
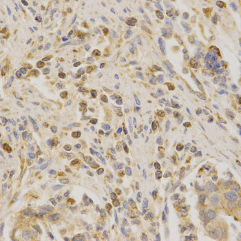
- Submitted by
- antibodies-online (provider)
- Main image
 
- Experimental details
- IHC
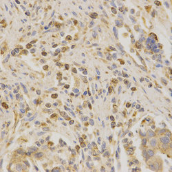
- Submitted by
- antibodies-online (provider)
- Main image
 
- Experimental details
- IHC