Antibody data
- Antibody Data
- Antigen structure
- References [13]
- Comments [0]
- Validations
- Immunohistochemistry [1]
Submit
Validation data
Reference
Comment
Report error
- Product number
- bs-0982R - Provider product page

- Provider
- Bioss
- Proper citation
- Bioss Cat#bs-0982R, RRID:AB_10856012
- Product name
- NFKB p65(Ser536) Polyclonal Antibody
- Antibody type
- Polyclonal
- Description
- KLH conjugated synthetic phosphopeptide derived from human NFKBp65 around the phosphorylation site of(Ser536)
- Reactivity
- Human, Mouse, Rat
- Host
- Rabbit
- Conjugate
- Unconjugated
- Isotype
- IgG
- Vial size
- 100ul
- Concentration
- 1ug/ul
- Storage
- Aqueous buffered solution containing 1% BSA, 50% glycerol and 0.09% sodium azide. Store at -20°C for 12 months.
Submitted references Expression of oestrogen receptor, androgen receptor and progesterone nuclear receptor in sheep uterus during the oestrous cycle.
Differential protein expression profiling by iTRAQ-2D-LC-MS/MS of rats treated with oxaliplatin.
Small interfering RNA delivery to the neurons near the amyloid plaques for improved treatment of Alzheimer׳s disease.
Ameliorative effects of Annona muricata Linn. (Annonaceae) against potassium dichromate-induced hypertension in vivo: involvement of Kim-1/p38 MAPK/Nrf2 signaling.
Upregulated circular RNA circ_0074027 promotes glioblastoma cell growth and invasion by regulating miR-518a-5p/IL17RD signaling pathway.
Immunostimulatory plant polysaccharides impede cancer progression and metastasis by avoiding off-target effects.
Prostaglandin E1 and Its Analog Misoprostol Inhibit Human CML Stem Cell Self-Renewal via EP4 Receptor Activation and Repression of AP-1.
Oxidative stress induced autophagy in cancer associated fibroblast enhances proliferation and metabolism of colorectal cancer cells.
Irreversible electroporation-mediated shRNA knockdown of the HPV18 E6 gene suppresses cervical cancer growth in vitro and in vivo.
Visfatin Destabilizes Atherosclerotic Plaques in Apolipoprotein E-Deficient Mice.
F25P preproinsulin abrogates the secretion of pro-growth factors from EGFRvIII cells and suppresses tumor growth in an EGFRvIII/wt heterogenic model.
A possible link between loading, inflammation and healing: Immune cell populations during tendon healing in the rat.
Pathology of non-thermal irreversible electroporation (N-TIRE)-induced ablation of the canine brain.
Duan H, Xiao L, Hu J, Zhang Y, Zhao X, Ge W, Jiang Y, Song L, Yang S, Luo W
Reproduction in domestic animals = Zuchthygiene 2019 Oct;54(10):1305-1312
Reproduction in domestic animals = Zuchthygiene 2019 Oct;54(10):1305-1312
Differential protein expression profiling by iTRAQ-2D-LC-MS/MS of rats treated with oxaliplatin.
Sun X, Lv Y, Wang J, Cheng H, Huang J, Du Y, Dong J
Journal of cellular biochemistry 2019 Oct;120(10):18128-18141
Journal of cellular biochemistry 2019 Oct;120(10):18128-18141
Small interfering RNA delivery to the neurons near the amyloid plaques for improved treatment of Alzheimer׳s disease.
Guo Q, Zheng X, Yang P, Pang X, Qian K, Wang P, Xu S, Sheng D, Wang L, Cao J, Lu W, Zhang Q, Jiang X
Acta pharmaceutica Sinica. B 2019 May;9(3):590-603
Acta pharmaceutica Sinica. B 2019 May;9(3):590-603
Ameliorative effects of Annona muricata Linn. (Annonaceae) against potassium dichromate-induced hypertension in vivo: involvement of Kim-1/p38 MAPK/Nrf2 signaling.
Ola-Davies OE, Oyagbemi AA, Omobowale TO, Akande I, Ashafa A
Journal of basic and clinical physiology and pharmacology 2019 May 3;30(4)
Journal of basic and clinical physiology and pharmacology 2019 May 3;30(4)
Upregulated circular RNA circ_0074027 promotes glioblastoma cell growth and invasion by regulating miR-518a-5p/IL17RD signaling pathway.
Qian L, Guan J, Wu Y, Wang Q
Biochemical and biophysical research communications 2019 Mar 19;510(4):515-519
Biochemical and biophysical research communications 2019 Mar 19;510(4):515-519
Immunostimulatory plant polysaccharides impede cancer progression and metastasis by avoiding off-target effects.
Varghese S, Joseph MM, Aravind SR, Unnikrishnan BS, Pillai KR, Sreelekha TT
International immunopharmacology 2019 Aug;73:280-292
International immunopharmacology 2019 Aug;73:280-292
Prostaglandin E1 and Its Analog Misoprostol Inhibit Human CML Stem Cell Self-Renewal via EP4 Receptor Activation and Repression of AP-1.
Li F, He B, Ma X, Yu S, Bhave RR, Lentz SR, Tan K, Guzman ML, Zhao C, Xue HH
Cell stem cell 2017 Sep 7;21(3):359-373.e5
Cell stem cell 2017 Sep 7;21(3):359-373.e5
Oxidative stress induced autophagy in cancer associated fibroblast enhances proliferation and metabolism of colorectal cancer cells.
Zhou W, Xu G, Wang Y, Xu Z, Liu X, Xu X, Ren G, Tian K
Cell cycle (Georgetown, Tex.) 2017 Jan 2;16(1):73-81
Cell cycle (Georgetown, Tex.) 2017 Jan 2;16(1):73-81
Irreversible electroporation-mediated shRNA knockdown of the HPV18 E6 gene suppresses cervical cancer growth in vitro and in vivo.
Wang ZL, Zhou W, Xiong ZA, Yu TH, Wu LM, Li CX, Yao CG, Wu YT, Hua YY
Oncology letters 2017 Aug;14(2):1943-1949
Oncology letters 2017 Aug;14(2):1943-1949
Visfatin Destabilizes Atherosclerotic Plaques in Apolipoprotein E-Deficient Mice.
Li B, Zhao Y, Liu H, Meng B, Wang J, Qi T, Zhang H, Li T, Zhao P, Sun H, Xu J, Song H, Dong Z, An F
PloS one 2016;11(2):e0148273
PloS one 2016;11(2):e0148273
F25P preproinsulin abrogates the secretion of pro-growth factors from EGFRvIII cells and suppresses tumor growth in an EGFRvIII/wt heterogenic model.
Wei JW, Cui JQ, Zhou X, Fang C, Tan YL, Chen LY, Yang C, Liu M, Kang CS
Cancer letters 2016 Sep 28;380(1):1-9
Cancer letters 2016 Sep 28;380(1):1-9
A possible link between loading, inflammation and healing: Immune cell populations during tendon healing in the rat.
Blomgran P, Blomgran R, Ernerudh J, Aspenberg P
Scientific reports 2016 Jul 13;6:29824
Scientific reports 2016 Jul 13;6:29824
Pathology of non-thermal irreversible electroporation (N-TIRE)-induced ablation of the canine brain.
Rossmeisl JH Jr, Garcia PA, Roberston JL, Ellis TL, Davalos RV
Journal of veterinary science 2013;14(4):433-40
Journal of veterinary science 2013;14(4):433-40
No comments: Submit comment
Supportive validation
- Submitted by
- Bioss (provider)
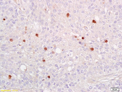
- Main image

- Experimental details
- Formalin-fixed and paraffin embedded human lung carcinoma labeled with Anti-phospho-NFKB p65(Ser536)Polyclonal Antibody, Unconjugated (bs-0982R) at 1:200 followed by conjugation to the secondary antibody and DAB staining.
- Sample type
- Human
- Other comments
- Lung