NB100-2176
antibody from Novus Biologicals
Targeting: RELA
NFKB3, p65
Antibody data
- Antibody Data
- Antigen structure
- References [27]
- Comments [0]
- Validations
- Western blot [2]
- Immunohistochemistry [1]
Submit
Validation data
Reference
Comment
Report error
- Product number
- NB100-2176 - Provider product page

- Provider
- Novus Biologicals
- Product name
- Rabbit Polyclonal RelA/NFkB p65 Antibody
- Antibody type
- Polyclonal
- Description
- Immunogen affinity purified. Reacts with NFkB p65
- Reactivity
- Human, Mouse, Rat
- Host
- Rabbit
- Isotype
- IgG
- Vial size
- 1 ml
- Concentration
- 0.2 mg/ml
- Storage
- Store at 4C. Do not freeze.
Submitted references Mediterranean diet components are linked to greater endothelial function and lower inflammation in a pilot study of ethnically diverse women.
Carbon monoxide attenuates amyloidogenesis via down-regulation of NF-κB-mediated BACE1 gene expression.
APE1/Ref-1 redox function contributes to inflammatory pain sensitization.
Dehydrocostus Lactone Enhances Chemotherapeutic Potential of Doxorubicin in Lung Cancer by Inducing Cell Death and Limiting Metastasis.
Inhibition of microRNA-34a protects against propofol anesthesia-induced neurotoxicity and cognitive dysfunction via the MAPK/ERK signaling pathway.
Effects of Inadequate Sleep on Blood Pressure and Endothelial Inflammation in Women: Findings From the American Heart Association Go Red for Women Strategically Focused Research Network.
Asymptomatic circulating T-cell clone cause renal polymorphic inflammatory fibrosis.
Midazolam anesthesia protects neuronal cells from oxidative stress-induced death via activation of the JNK-ERK pathway.
Tumoral Vitamin D Synthesis by CYP27B1 1-α-Hydroxylase Delays Mammary Tumor Progression in the PyMT-MMTV Mouse Model and Its Action Involves NF-κB Modulation.
Cholecalciferol (vitamin D3) prevents postoperative adhesion formation by inactivating the nuclear factor kappa B pathway: a randomized experimental study.
Synthetic curcumin analog UBS109 inhibits the growth of head and neck squamous cell carcinoma xenografts.
Synthetic curcumin analog UBS109 inhibits the growth of head and neck squamous cell carcinoma xenografts.
Apurinic/apyrimidinic endonuclease 1 is a key modulator of aluminum-induced neuroinflammation.
Synthetic curcumin analog EF31 inhibits the growth of head and neck squamous cell carcinoma xenografts.
Activation of interleukin-1 signaling cascades in normal and osteoarthritic articular cartilage.
Enhancement of NF-kappaB expression and activity upon differentiation of human embryonic stem cell line SNUhES3.
Diabetes-induced activation of canonical and noncanonical nuclear factor-kappaB pathways in renal cortex.
Diabetes-induced activation of canonical and noncanonical nuclear factor-kappaB pathways in renal cortex.
Direct role of NF-kappaB activation in Toll-like receptor-triggered HLA-DRA expression.
Halofuginone induces matrix metalloproteinases in rat hepatic stellate cells via activation of p38 and NFkappaB.
Protection by EGb 761 against beta-amyloid-induced neurotoxicity: involvement of NF-kappaB, SIRT1, and MAPKs pathways and inhibition of amyloid fibril formation.
Sp1-associated activation of macrophage inflammatory protein-2 promoter by CpG-oligodeoxynucleotide and lipopolysaccharide.
Potential role of ursodeoxycholic acid in suppression of nuclear factor kappa B in microglial cell line (BV-2).
Potential role of ursodeoxycholic acid in suppression of nuclear factor kappa B in microglial cell line (BV-2).
Factors involved in the inflammatory events of cervical ripening in humans.
Dysregulation of apoptosis in Waldenstrom's macroglobulinemia does not involve nuclear factor kappa B activation.
[The measurement of exposition and results of prophylactic studies in workers chronically exposed to action of mercury vapours (author's transl)].
Shah R, Makarem N, Emin M, Liao M, Jelic S, Aggarwal B
Nutrition research (New York, N.Y.) 2020 Mar;75:77-84
Nutrition research (New York, N.Y.) 2020 Mar;75:77-84
Carbon monoxide attenuates amyloidogenesis via down-regulation of NF-κB-mediated BACE1 gene expression.
Kim HJ, Joe Y, Chen Y, Park GH, Kim UH, Chung HT
Aging cell 2019 Feb;18(1):e12864
Aging cell 2019 Feb;18(1):e12864
APE1/Ref-1 redox function contributes to inflammatory pain sensitization.
Zaky A, Bouali-Benazzouz R, Favereaux A, Tell G, Landry M
Experimental neurology 2018 Sep;307:1-11
Experimental neurology 2018 Sep;307:1-11
Dehydrocostus Lactone Enhances Chemotherapeutic Potential of Doxorubicin in Lung Cancer by Inducing Cell Death and Limiting Metastasis.
Sheng W, Mao H, Wang C, Yang N, Zhang Z, Han J
Medical science monitor : international medical journal of experimental and clinical research 2018 Nov 2;24:7850-7861
Medical science monitor : international medical journal of experimental and clinical research 2018 Nov 2;24:7850-7861
Inhibition of microRNA-34a protects against propofol anesthesia-induced neurotoxicity and cognitive dysfunction via the MAPK/ERK signaling pathway.
Li GF, Li ZB, Zhuang SJ, Li GC
Neuroscience letters 2018 May 14;675:152-159
Neuroscience letters 2018 May 14;675:152-159
Effects of Inadequate Sleep on Blood Pressure and Endothelial Inflammation in Women: Findings From the American Heart Association Go Red for Women Strategically Focused Research Network.
Aggarwal B, Makarem N, Shah R, Emin M, Wei Y, St-Onge MP, Jelic S
Journal of the American Heart Association 2018 Jun 9;7(12)
Journal of the American Heart Association 2018 Jun 9;7(12)
Asymptomatic circulating T-cell clone cause renal polymorphic inflammatory fibrosis.
Ribes D, Casemayou A, El Hachem H, Laurent C, Guilbeau-Frugier C, Vergez F, Tavitian S, Schanstra JP, Chauveau D, Bascands JL, Ysebaert L, Faguer S
Clinical and experimental nephrology 2017 Oct;21(5):781-786
Clinical and experimental nephrology 2017 Oct;21(5):781-786
Midazolam anesthesia protects neuronal cells from oxidative stress-induced death via activation of the JNK-ERK pathway.
Liu JY, Guo F, Wu HL, Wang Y, Liu JS
Molecular medicine reports 2017 Jan;15(1):169-179
Molecular medicine reports 2017 Jan;15(1):169-179
Tumoral Vitamin D Synthesis by CYP27B1 1-α-Hydroxylase Delays Mammary Tumor Progression in the PyMT-MMTV Mouse Model and Its Action Involves NF-κB Modulation.
Li J, Luco AL, Ochietti B, Fadhil I, Camirand A, Reinhardt TA, St-Arnaud R, Muller W, Kremer R
Endocrinology 2016 Jun;157(6):2204-16
Endocrinology 2016 Jun;157(6):2204-16
Cholecalciferol (vitamin D3) prevents postoperative adhesion formation by inactivating the nuclear factor kappa B pathway: a randomized experimental study.
Sahbaz A, Aynioglu O, Isik H, Gulle K, Akpolat Ferah M, Cicekler Sahbaz H
The Journal of surgical research 2015 Sep;198(1):252-9
The Journal of surgical research 2015 Sep;198(1):252-9
Synthetic curcumin analog UBS109 inhibits the growth of head and neck squamous cell carcinoma xenografts.
Zhu S, Moore TW, Morii N, Howard RB, Culver D, Arrendale RF, Reddy P, Evers TJ, Zhang H, Sica G, Chen ZG, Sun A, Fu H, Khuri FR, Shin DM, Snyder JP, Shoji M
Current cancer drug targets 2014;14(4):380-93
Current cancer drug targets 2014;14(4):380-93
Synthetic curcumin analog UBS109 inhibits the growth of head and neck squamous cell carcinoma xenografts.
Zhu S, Moore TW, Morii N, Howard RB, Culver D, Arrendale RF, Reddy P, Evers TJ, Zhang H, Sica G, Chen ZG, Sun A, Fu H, Khuri FR, Shin DM, Snyder JP, Shoji M
Current cancer drug targets 2014;14(4):380-93
Current cancer drug targets 2014;14(4):380-93
Apurinic/apyrimidinic endonuclease 1 is a key modulator of aluminum-induced neuroinflammation.
Zaky A, Mohammad B, Moftah M, Kandeel KM, Bassiouny AR
BMC neuroscience 2013 Mar 11;14:26
BMC neuroscience 2013 Mar 11;14:26
Synthetic curcumin analog EF31 inhibits the growth of head and neck squamous cell carcinoma xenografts.
Zhu S, Moore TW, Lin X, Morii N, Mancini A, Howard RB, Culver D, Arrendale RF, Reddy P, Evers TJ, Zhang H, Sica G, Chen ZG, Sun A, Fu H, Khuri FR, Shin DM, Snyder JP, Shoji M
Integrative biology : quantitative biosciences from nano to macro 2012 Jun;4(6):633-40
Integrative biology : quantitative biosciences from nano to macro 2012 Jun;4(6):633-40
Activation of interleukin-1 signaling cascades in normal and osteoarthritic articular cartilage.
Fan Z, Söder S, Oehler S, Fundel K, Aigner T
The American journal of pathology 2007 Sep;171(3):938-46
The American journal of pathology 2007 Sep;171(3):938-46
Enhancement of NF-kappaB expression and activity upon differentiation of human embryonic stem cell line SNUhES3.
Kang HB, Kim YE, Kwon HJ, Sok DE, Lee Y
Stem cells and development 2007 Aug;16(4):615-23
Stem cells and development 2007 Aug;16(4):615-23
Diabetes-induced activation of canonical and noncanonical nuclear factor-kappaB pathways in renal cortex.
Starkey JM, Haidacher SJ, LeJeune WS, Zhang X, Tieu BC, Choudhary S, Brasier AR, Denner LA, Tilton RG
Diabetes 2006 May;55(5):1252-9
Diabetes 2006 May;55(5):1252-9
Diabetes-induced activation of canonical and noncanonical nuclear factor-kappaB pathways in renal cortex.
Starkey JM, Haidacher SJ, LeJeune WS, Zhang X, Tieu BC, Choudhary S, Brasier AR, Denner LA, Tilton RG
Diabetes 2006 May;55(5):1252-9
Diabetes 2006 May;55(5):1252-9
Direct role of NF-kappaB activation in Toll-like receptor-triggered HLA-DRA expression.
Lee KW, Lee Y, Kim DS, Kwon HJ
European journal of immunology 2006 May;36(5):1254-66
European journal of immunology 2006 May;36(5):1254-66
Halofuginone induces matrix metalloproteinases in rat hepatic stellate cells via activation of p38 and NFkappaB.
Popov Y, Patsenker E, Bauer M, Niedobitek E, Schulze-Krebs A, Schuppan D
The Journal of biological chemistry 2006 Jun 2;281(22):15090-8
The Journal of biological chemistry 2006 Jun 2;281(22):15090-8
Protection by EGb 761 against beta-amyloid-induced neurotoxicity: involvement of NF-kappaB, SIRT1, and MAPKs pathways and inhibition of amyloid fibril formation.
Longpré F, Garneau P, Christen Y, Ramassamy C
Free radical biology & medicine 2006 Dec 15;41(12):1781-94
Free radical biology & medicine 2006 Dec 15;41(12):1781-94
Sp1-associated activation of macrophage inflammatory protein-2 promoter by CpG-oligodeoxynucleotide and lipopolysaccharide.
Lee KW, Lee Y, Kwon HJ, Kim DS
Cellular and molecular life sciences : CMLS 2005 Jan;62(2):188-98
Cellular and molecular life sciences : CMLS 2005 Jan;62(2):188-98
Potential role of ursodeoxycholic acid in suppression of nuclear factor kappa B in microglial cell line (BV-2).
Joo SS, Won TJ, Lee DI
Archives of pharmacal research 2004 Sep;27(9):954-60
Archives of pharmacal research 2004 Sep;27(9):954-60
Potential role of ursodeoxycholic acid in suppression of nuclear factor kappa B in microglial cell line (BV-2).
Joo SS, Won TJ, Lee DI
Archives of pharmacal research 2004 Sep;27(9):954-60
Archives of pharmacal research 2004 Sep;27(9):954-60
Factors involved in the inflammatory events of cervical ripening in humans.
Stjernholm-Vladic Y, Stygar D, Mansson C, Masironi B, Akerberg S, Wang H, Ekman-Ordeberg G, Sahlin L
Reproductive biology and endocrinology : RB&E 2004 Oct 22;2:74
Reproductive biology and endocrinology : RB&E 2004 Oct 22;2:74
Dysregulation of apoptosis in Waldenstrom's macroglobulinemia does not involve nuclear factor kappa B activation.
Leitch D, Barrans SL, Jack AS, Owen RG
Seminars in oncology 2003 Apr;30(2):161-4
Seminars in oncology 2003 Apr;30(2):161-4
[The measurement of exposition and results of prophylactic studies in workers chronically exposed to action of mercury vapours (author's transl)].
Szybiński Z, Pach J, Bogusz M, Skórzyńska K, Gancarczyk T, Błazowski T
Przeglad lekarski 1979;36(11):773-6
Przeglad lekarski 1979;36(11):773-6
No comments: Submit comment
Supportive validation
- Submitted by
- Novus Biologicals (provider)
- Main image

- Experimental details
- Western Blot: RelA/NFkB p65 Antibody [NB100-2176] - Analysis of NFkB p65 expression in A431 (A) and HeLa (B) whole cell lysates.
- Submitted by
- Novus Biologicals (provider)
- Main image

- Experimental details
- Western Blot: RelA/NFkB p65 Antibody [NB100-2176] - Human glomerular endothelial cell lysates, time-response treatment with 10ng/ml TNF-alpha. This image was submitted via customer Review.
Supportive validation
- Submitted by
- Novus Biologicals (provider)
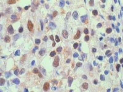
- Main image

- Experimental details
- Immunohistochemistry-Paraffin: RelA/NFkB p65 Antibody [NB100-2176] - Staining of formalin-fixed, paraffin-embedded human DLBCL showing nuclear expression of NFkB p65 in the tumor cells.