Antibody data
- Antibody Data
- Antigen structure
- References [0]
- Comments [0]
- Validations
- Western blot [1]
- Immunocytochemistry [1]
- Flow cytometry [1]
Submit
Validation data
Reference
Comment
Report error
- Product number
- AM09268PU-N - Provider product page

- Provider
- OriGene
- Product name
- C Reactive Protein (CRP) mouse monoclonal antibody, clone S5G1, Aff - Purified
- Antibody type
- Monoclonal
- Description
- C Reactive Protein (CRP) mouse monoclonal antibody, clone S5G1, Aff - Purified
- Host
- Mouse
- Conjugate
- Unconjugated
- Epitope
- CRP
- Isotype
- IgG
- Antibody clone number
- S5G1
- Vial size
- 500 µg
No comments: Submit comment
Supportive validation
- Submitted by
- OriGene (provider)
- Main image

- Experimental details
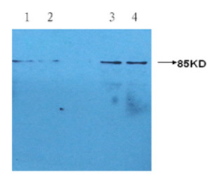
- Western blotting using?Mouse anti-human CRP monoclonal antibody (S5G1) at 1:1000 dilution.? Lane1 & 2: HepG2 cell lysate.? Lane3 & 4: Hela cell lysate.
- Validation comment
- WB
Supportive validation
- Submitted by
- OriGene (provider)
- Main image

- Experimental details
- Methanol-fixed Hela cells stained with 10mg/mL anti-Human CRP mAb S5G1 and fluorescence labelled secondary antibody.
- Validation comment
- IF
Supportive validation
- Submitted by
- OriGene (provider)
- Main image

- Experimental details
- Above is the histogram of Hela cells stained with 10mg/mL anti-Human CRP mAb S5G1 and fluorescence labelled secondary antibody. ?Black line represents the histogram of Hela cells stained with isotype control, mouse anti-TB 38Kd antigen monoclonal antibody (Clone B12F8).
- Validation comment
- FC