Antibody data
- Antibody Data
- Antigen structure
- References [8]
- Comments [0]
- Validations
- Immunohistochemistry [1]
Submit
Validation data
Reference
Comment
Report error
- Product number
- M00994 - Provider product page

- Provider
- Boster Biological Technology
- Product name
- Anti-AMPK alpha 1 PRKAA1 Rabbit Monoclonal Antibody
- Antibody type
- Monoclonal
- Description
- Monoclonal antibody for AMPK alpha 1/PRKAA1 detection. Host: Rabbit.Size: 100ug/vial. Tested applications: Flow Cytometry, IP, IF, IHC, ICC, WB. Reactive species: Human, Mouse, Rat AMPK alpha 1/PRKAA1 information: Molecular Weight: 64009 MW; Subcellular Localization: Cytoplasm . Nucleus . In response to stress, recruited by p53/TP53 to specific promoters.
- Reactivity
- Human, Mouse, Rat
- Host
- Rabbit
- Antibody clone number
- CDD-16
- Vial size
- 100ug/vial
- Concentration
- 0.5-1mg/ml, actual concentration vary by lot. Use suggested dilution ratio to decide dilution procedure.
- Storage
- At -20°C for one year. Avoid repeated freezing and thawing.
Submitted references Dapagliflozin promotes browning of white adipose tissue through the FGFR1-LKB1-AMPK signaling pathway.
Lower dose of metformin combined with artesunate induced autophagy-dependent apoptosis of glioblastoma by activating ROS-AMPK-mTOR axis.
Quinacrine attenuates diet-induced obesity by inhibiting adipogenesis via activation of AMPK signaling.
Acyclovir alleviates insulin resistance via activating PKM1 in diabetic mice.
Fructus Zanthoxyli extract improves glycolipid metabolism disorder of type 2 diabetes mellitus via activation of AMPK/PI3K/Akt pathway: Network pharmacology and experimental validation.
The effects of Formoterol in preventing adipogenesis and obesity are mediated by PPARγ/C/EBPα axis and AMPK/PGC-1α pathway.
The Function behind the Relation between Lipid Metabolism and Vimentin on H9N2 Subtype AIV Replication.
Transient Receptor Potential Melastatin 8 (TRPM8) Channel Regulates Proliferation and Migration of Breast Cancer Cells by Activating the AMPK-ULK1 Pathway to Enhance Basal Autophagy.
Lv Y, Zhao C, Jiang Q, Rong Y, Ma M, Liang L, Li W, Zhang J, Xu N, Wu H
Molecular biology reports 2024 Apr 21;51(1):562
Molecular biology reports 2024 Apr 21;51(1):562
Lower dose of metformin combined with artesunate induced autophagy-dependent apoptosis of glioblastoma by activating ROS-AMPK-mTOR axis.
Ding W, Liao L, Liu J, Zhao J, Tang Q, Liao Y
Experimental cell research 2023 Sep 1;430(1):113691
Experimental cell research 2023 Sep 1;430(1):113691
Quinacrine attenuates diet-induced obesity by inhibiting adipogenesis via activation of AMPK signaling.
Li X, Zhou J, Hu Z, Han L, Zhao W, Wu T, Li C, Liu J, Kang J, Chen X
European journal of pharmacology 2023 Jan 5;938:175432
European journal of pharmacology 2023 Jan 5;938:175432
Acyclovir alleviates insulin resistance via activating PKM1 in diabetic mice.
Hu Z, Zhou J, Han L, Li X, Li C, Wu T, Liu J, Zhao W, Kang J, Chen X
Life sciences 2022 Sep 1;304:120725
Life sciences 2022 Sep 1;304:120725
Fructus Zanthoxyli extract improves glycolipid metabolism disorder of type 2 diabetes mellitus via activation of AMPK/PI3K/Akt pathway: Network pharmacology and experimental validation.
Zhang T, Zhang Q, Zheng W, Tao T, Li RL, Wang LY, Peng W, Wu CJ
Journal of integrative medicine 2022 Nov;20(6):543-560
Journal of integrative medicine 2022 Nov;20(6):543-560
The effects of Formoterol in preventing adipogenesis and obesity are mediated by PPARγ/C/EBPα axis and AMPK/PGC-1α pathway.
Zhang X, Che L, Shan J, Wang Y, Jia Y, Wu H
Bioscience, biotechnology, and biochemistry 2022 Jul 4;
Bioscience, biotechnology, and biochemistry 2022 Jul 4;
The Function behind the Relation between Lipid Metabolism and Vimentin on H9N2 Subtype AIV Replication.
Lu A, Yang J, Huang X, Huang X, Yin G, Cai Y, Feng X, Zhang X, Li Y, Liu Q
Viruses 2022 Aug 18;14(8)
Viruses 2022 Aug 18;14(8)
Transient Receptor Potential Melastatin 8 (TRPM8) Channel Regulates Proliferation and Migration of Breast Cancer Cells by Activating the AMPK-ULK1 Pathway to Enhance Basal Autophagy.
Huang Y, Li S, Jia Z, Zhao W, Zhou C, Zhang R, Ali DW, Michalak M, Chen XZ, Tang J
Frontiers in oncology 2020;10:573127
Frontiers in oncology 2020;10:573127
No comments: Submit comment
Supportive validation
- Submitted by
- Boster Biological Technology (provider)
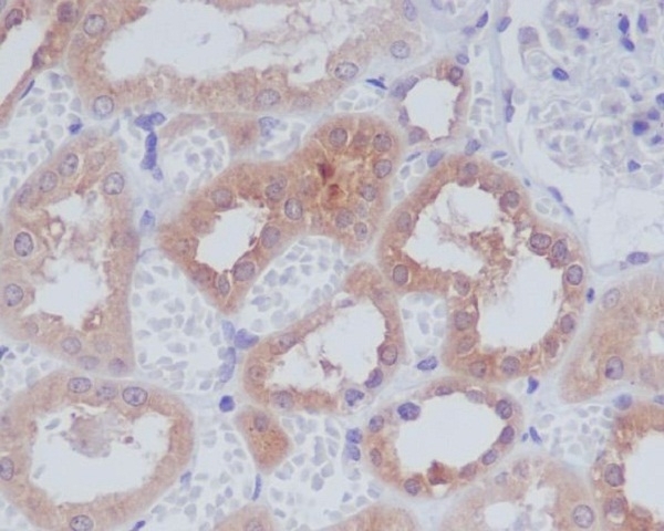
- Main image

- Experimental details
- Immunohistochemical analysis of paraffin-embedded human kidney, using AMPK alpha 1 Antibody(M00994)PRKAA1 was detected in paraffin-embedded tissue section. Heat mediated antigen retrieval was performed in citrate buffer (pH6, epitope retrieval solution) for 20 mins. The tissue section was blocked with 10% goat serum. The tissue section was then incubated with 1ug/ml rabbit anti-PRKAA1 Antibody (M00994)overnight at 4
- Additional image
