Antibody data
- Antibody Data
- Antigen structure
- References [5]
- Comments [0]
- Validations
- Western blot [1]
- Immunocytochemistry [1]
- Immunohistochemistry [2]
Submit
Validation data
Reference
Comment
Report error
- Product number
- 15247-1-AP - Provider product page

- Provider
- Proteintech Group
- Proper citation
- Proteintech Cat#15247-1-AP, RRID:AB_2150428
- Product name
- NCK1 antibody
- Antibody type
- Polyclonal
- Description
- KD/KO validated NCK1 antibody (Cat. #15247-1-AP) is a rabbit polyclonal antibody that shows reactivity with human, mouse, rat and has been validated for the following applications: FC, IF, IHC, IP, WB,ELISA.
- Reactivity
- Human, Mouse, Rat
- Host
- Rabbit
- Conjugate
- Unconjugated
- Isotype
- IgG
- Vial size
- 20ul, 150ul
Submitted references Long noncoding RNA LINC00885 upregulates NCK1 to promote cell viability and migration of triple-negative breast cancer cells through sponging miR-654-3p.
STAT3-induced NCK1 elevation promotes migration of triple-negative breast cancer cells via regulating ERK1/2 signaling.
The Legionella pneumophila effector WipA disrupts host F-actin polymerisation by hijacking phosphotyrosine signalling.
Identification of NCK1 as a novel downstream effector of STAT3 in colorectal cancer metastasis and angiogenesis.
The adapter proteins ADAP and Nck cooperate in T cell adhesion.
He P, Liu Z, Qi J, Shan J, Sheng J
Cancer biomarkers : section A of Disease markers 2024;39(1):63-78
Cancer biomarkers : section A of Disease markers 2024;39(1):63-78
STAT3-induced NCK1 elevation promotes migration of triple-negative breast cancer cells via regulating ERK1/2 signaling.
He P, Sheng J, Qi J, Bai X, Li J, Wang F, Yuan Y, Zheng X
Molecular biology reports 2022 Jan;49(1):267-278
Molecular biology reports 2022 Jan;49(1):267-278
The Legionella pneumophila effector WipA disrupts host F-actin polymerisation by hijacking phosphotyrosine signalling.
He L, Lin Y, Ge ZH, He SY, Zhao BB, Shen D, He JG, Lu YJ
Cellular microbiology 2019 Jun;21(6):e13014
Cellular microbiology 2019 Jun;21(6):e13014
Identification of NCK1 as a novel downstream effector of STAT3 in colorectal cancer metastasis and angiogenesis.
Zhang F, Lu YX, Chen Q, Zou HM, Zhang JM, Hu YH, Li XM, Zhang WJ, Zhang W, Lin C, Li XN
Cellular signalling 2017 Aug;36:67-78
Cellular signalling 2017 Aug;36:67-78
The adapter proteins ADAP and Nck cooperate in T cell adhesion.
Lettau M, Kliche S, Kabelitz D, Janssen O
Molecular immunology 2014 Jul;60(1):72-9
Molecular immunology 2014 Jul;60(1):72-9
No comments: Submit comment
Supportive validation
- Submitted by
- Proteintech Group (provider)
- Main image

- Experimental details
- mouse brain tissue were subjected to SDS PAGE followed by western blot with 15247-1-AP(NCK1 antibody) at dilution of 1:400
- Sample type
- tissue
Supportive validation
- Submitted by
- Proteintech Group (provider)
- Main image

- Experimental details
- Immunofluorescent analysis of Hela cells, using NCK1 antibody 15247-1-AP at 1:25 dilution and Rhodamine-labeled goat anti-rabbit IgG (red).
- Sample type
- cell line
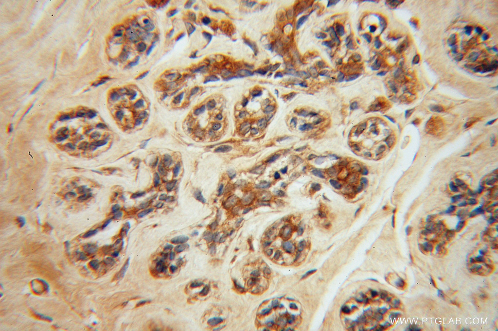
Supportive validation
- Submitted by
- Proteintech Group (provider)
- Main image

- Experimental details
- Immunohistochemical of paraffin-embedded human breast cancer using 15247-1-AP(NCK1 antibody) at dilution of 1:100 (under 40x lens)
- Sample type
- tissue
- Submitted by
- Proteintech Group (provider)
- Main image

- Experimental details
- Immunohistochemical of paraffin-embedded human breast cancer using 15247-1-AP(NCK1 antibody) at dilution of 1:100 (under 10x lens)
- Sample type
- tissue