Antibody data
- Antibody Data
- Antigen structure
- References [0]
- Comments [0]
- Validations
- Western blot [1]
- Immunocytochemistry [1]
- Immunohistochemistry [2]
Submit
Validation data
Reference
Comment
Report error
- Product number
- 19979-1-AP - Provider product page

- Provider
- Proteintech Group
- Proper citation
- Proteintech Cat#19979-1-AP, RRID:AB_10644144
- Product name
- PAK2 antibody
- Antibody type
- Polyclonal
- Description
- PAK2 antibody (Cat. #19979-1-AP) is a rabbit polyclonal antibody that shows reactivity with human and has been validated for the following applications: IF, WB,ELISA.
- Reactivity
- Human
- Host
- Rabbit
- Conjugate
- Unconjugated
- Isotype
- IgG
- Vial size
- 20ul, 150ul
No comments: Submit comment
Supportive validation
- Submitted by
- Proteintech Group (provider)
- Main image

- Experimental details
- human skeletal muscle tissue were subjected to SDS PAGE followed by western blot with 19979-1-AP(PAK2 antibody) at dilution of 1:300
- Sample type
- tissue
Supportive validation
- Submitted by
- Proteintech Group (provider)
- Main image

- Experimental details
- Immunofluorescent analysis of Hela cells, using PAK2 antibody 19979-1-AP at 1:25 dilution and Rhodamine-labeled goat anti-rabbit IgG (red).
- Sample type
- cell line
Supportive validation
- Submitted by
- Proteintech Group (provider)
- Main image

- Experimental details
- Immunohistochemical of paraffin-embedded human ovary using 19979-1-AP(PAK2 antibody) at dilution of 1:100 (under 10x lens)
- Sample type
- tissue
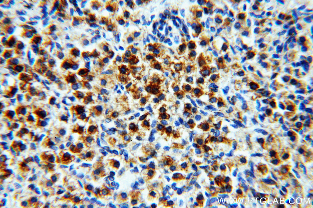
- Submitted by
- Proteintech Group (provider)
- Main image

- Experimental details
- Immunohistochemical of paraffin-embedded human ovary using 19979-1-AP(PAK2 antibody) at dilution of 1:100 (under 40x lens)
- Sample type
- tissue