Antibody data
- Antibody Data
- Antigen structure
- References [0]
- Comments [0]
- Validations
- Western blot [3]
- Immunohistochemistry [2]
Submit
Validation data
Reference
Comment
Report error
- Product number
- NBP1-69757 - Provider product page

- Provider
- Novus Biologicals
- Proper citation
- Novus Cat#NBP1-69757, RRID:AB_11026076
- Product name
- Goat Polyclonal Fc gamma RIIB/CD32b Antibody
- Antibody type
- Polyclonal
- Description
- Immunogen affinity purified. Human FCGR2B/ CD32B. This antibody is expected to recognise all reported isoforms (NP_001002273.1
- Reactivity
- Human
- Host
- Goat
- Isotype
- IgG
- Vial size
- 0.05 mg
- Concentration
- 0.5 mg/ml
- Storage
- Store at -20C. Avoid freeze-thaw cycles.
No comments: Submit comment
Supportive validation
- Submitted by
- Novus Biologicals (provider)
- Main image

- Experimental details
- Western Blot: Fc gamma RIIB/CD32b Antibody [NBP1-69757] - Staining of Daudi cell lysate (RIPA buffer, (35ug protein in RIPA buffer). Detected by chemiluminescence.
- Submitted by
- Novus Biologicals (provider)
- Main image

- Experimental details
- Western Blot: Fc gamma RIIB/CD32b Antibody [NBP1-69757] - Staining of K562 lysate (35 ug protein in RIPA buffer). Primary incubation was 1 hour. Detected by chemiluminescence. Top of Page
- Submitted by
- Novus Biologicals (provider)
- Main image

- Experimental details
- Western Blot: Fc gamma RIIB/CD32b Antibody [NBP1-69757] - Staining of Daudi cell lysate (RIPA buffer, (35ug protein in RIPA buffer). Primary incubation was 1 hour. Detected by chemiluminescence.
Supportive validation
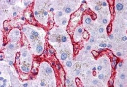
- Submitted by
- Novus Biologicals (provider)
- Main image

- Experimental details
- Immunohistochemistry-Paraffin: Fc gamma RIIB/CD32b Antibody [NBP1-69757] - Analysis of anti-CD32B antibody with human placenta at concentration 3.75 ug/ml.
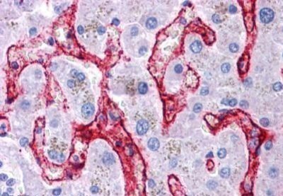
- Submitted by
- Novus Biologicals (provider)
- Main image

- Experimental details
- Immunohistochemistry-Paraffin: Fc gamma RIIB/CD32b Antibody [NBP1-69757] - Analysis of anti-CD32B antibody with human liver at concentration 3.75 ug/ml.