Antibody data
- Antibody Data
- Antigen structure
- References [2]
- Comments [0]
- Validations
- Western blot [1]
- Immunohistochemistry [2]
Submit
Validation data
Reference
Comment
Report error
- Product number
- 20773-1-AP - Provider product page

- Provider
- Proteintech Group
- Proper citation
- Proteintech Cat#20773-1-AP, RRID:AB_10915553
- Product name
- Serum amyloid P component antibody
- Antibody type
- Polyclonal
- Description
- Serum amyloid P component antibody (Cat. #20773-1-AP) is a rabbit polyclonal antibody that shows reactivity with human and has been validated for the following applications: IHC, WB,ELISA.
- Reactivity
- Human
- Host
- Rabbit
- Conjugate
- Unconjugated
- Isotype
- IgG
- Vial size
- 20ul, 150ul
Submitted references Bioprosthetic Valve Deterioration: Accumulation of Circulating Proteins and Macrophages in the Valve Interstitium.
C-reactive protein (CRP) recognizes uric acid crystals and recruits proteases C1 and MASP1.
Sakaue T, Koyama T, Nakamura Y, Okamoto K, Kawashima T, Umeno T, Nakayama Y, Miyamoto S, Shikata F, Hamaguchi M, Aono J, Kurata M, Namiguchi K, Uchita S, Masumoto J, Yamaguchi O, Higashiyama S, Izutani H
JACC. Basic to translational science 2023 Jul;8(7):862-880
JACC. Basic to translational science 2023 Jul;8(7):862-880
C-reactive protein (CRP) recognizes uric acid crystals and recruits proteases C1 and MASP1.
Alberts A, Klingberg A, Wessig AK, Combes C, Witte T, Brand K, Pich A, Neumann K
Scientific reports 2020 Apr 14;10(1):6391
Scientific reports 2020 Apr 14;10(1):6391
No comments: Submit comment
Supportive validation
- Submitted by
- Proteintech Group (provider)
- Main image

- Experimental details
- human kidney tissue were subjected to SDS PAGE followed by western blot with 20773-1-AP(APCS antibody) at dilution of 1:800
- Sample type
- tissue
Supportive validation
- Submitted by
- Proteintech Group (provider)
- Main image

- Experimental details
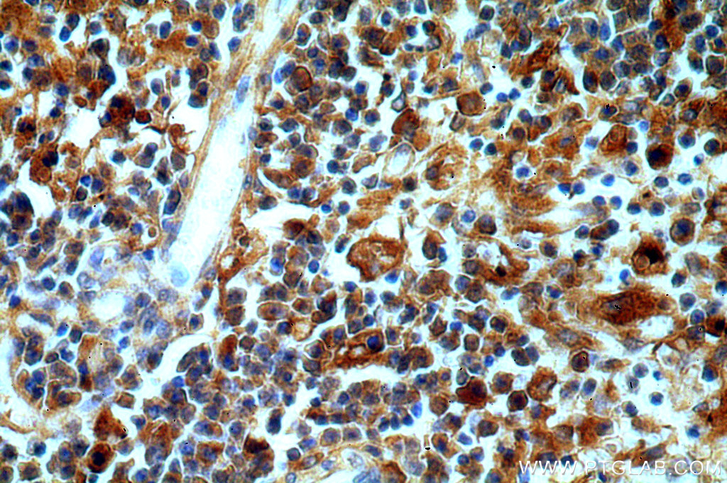
- Immunohistochemical of paraffin-embedded human spleen using 20773-1-AP(APCS antibody) at dilution of 1:50 (under 10x lens)
- Sample type
- tissue
- Submitted by
- Proteintech Group (provider)
- Main image

- Experimental details
- The Serum amyloid P component antibody from Proteintech is a rabbit polyclonal antibody to a fusion protein of human Serum amyloid P component. This antibody recognizes human antigen. The Serum amyloid P component antibody has been validated for the following applications: ELISA, WB, IHC analysis.