Antibody data
- Antibody Data
- Antigen structure
- References [0]
- Comments [0]
- Validations
- Western blot [1]
- Immunohistochemistry [1]
Submit
Validation data
Reference
Comment
Report error
- Product number
- ARG55556 - Provider product page

- Provider
- Arigo
- Product name
- anti-Serum amyloid P-componen antibody
- Antibody type
- Polyclonal
- Antigen
- KLH-conjugated synthetic peptide around aa. 153-187 (Center) of Human Serum amyloid P-componen.
- Description
- Purification with Protein A and immunogen peptide.
- Reactivity
- Human
- Host
- Rabbit
- Isotype
- IgG
- Vial size
- 100 µl
- Storage
- For continuous use, store undiluted antibody at 2-8°C for up to a week. For long-term storage, aliquot and store at -20°C or below. Storage in frost free freezers is not recommended. Keep the antibody in the dark and keep protected from prolonged exposure to light. Avoid repeated freeze/thaw cycles. Suggest spin the vial prior to opening.
- Handling
- The antibody solution should be gently mixed before use.
No comments: Submit comment
Supportive validation
- Submitted by
- Arigo (provider)
- Main image

- Experimental details
- Western blot: 35 µg of human spleen and plasma tissue lysate (from left to right) stained with ARG55556 anti-Serum amyloid P-componen antibody at 1:1000 dilution.
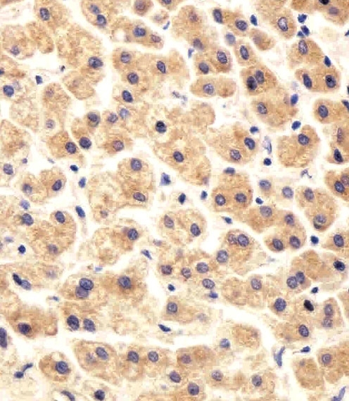
Supportive validation
- Submitted by
- Arigo (provider)
- Main image

- Experimental details
- Immunohistochemistry: paraffin-embedded H. liver section stained with ARG55556 anti-Serum amyloid P-componen antibody at 1:25 dilution.