Antibody data
- Antibody Data
- Antigen structure
- References [2]
- Comments [0]
- Validations
- Western blot [1]
- Immunohistochemistry [2]
Submit
Validation data
Reference
Comment
Report error
- Product number
- 66084-1-Ig - Provider product page

- Provider
- Proteintech Group
- Proper citation
- Proteintech Cat#66084-1-Ig, RRID:AB_11182271
- Product name
- Serum amyloid P component antibody
- Antibody type
- Monoclonal
- Description
- Serum amyloid P component antibody (Cat. #66084-1-Ig) is a mouse monoclonal antibody that shows reactivity with human and has been validated for the following applications: IHC, WB,ELISA.
- Reactivity
- Human
- Host
- Mouse
- Conjugate
- Unconjugated
- Isotype
- IgG
- Antibody clone number
- 1A1D10
- Vial size
- 20ul, 150ul
Submitted references Comprehensive human proteome profiles across a 50-year lifespan reveal aging trajectories and signatures.
Combined analysis of serum SAP and PRSS2 for the differential diagnosis of CD and UC.
Ding Y, Zuo Y, Zhang B, Fan Y, Xu G, Cheng Z, Ma S, Fang S, Tian A, Gao D, Xu X, Wang Q, Jing Y, Jiang M, Xiong M, Li J, Han Z, Sun S, Wang S, He F, Yang J, Qu J, Zhang W, Liu GH
Cell 2025 Oct 2;188(20):5763-5784.e26
Cell 2025 Oct 2;188(20):5763-5784.e26
Combined analysis of serum SAP and PRSS2 for the differential diagnosis of CD and UC.
Wang W, Wu L, Wu X, Li K, Li T, Xu B, Liu W
Clinica chimica acta; international journal of clinical chemistry 2021 Mar;514:8-14
Clinica chimica acta; international journal of clinical chemistry 2021 Mar;514:8-14
No comments: Submit comment
Supportive validation
- Submitted by
- Proteintech Group (provider)
- Main image

- Experimental details
- human kidney tissue were subjected to SDS PAGE followed by western blot with 66084-1-Ig(APCS antibody) at dilution of 1:1000
- Sample type
- tissue
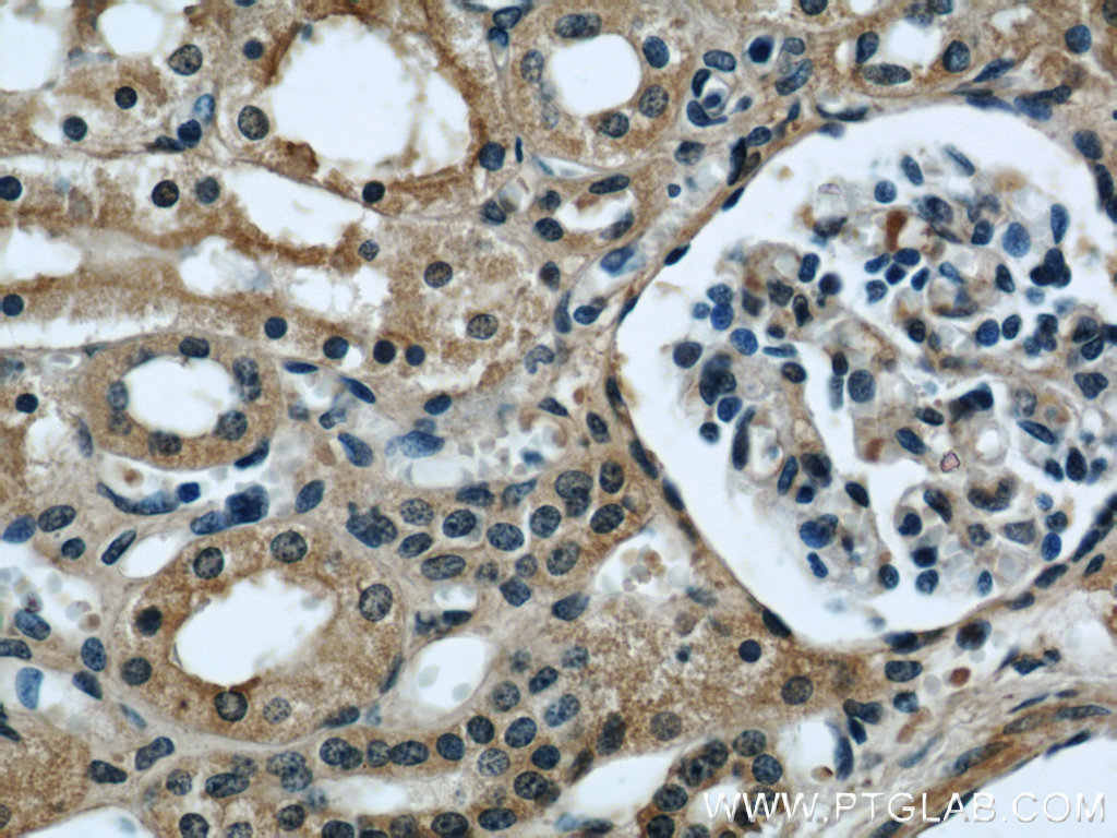
Supportive validation
- Submitted by
- Proteintech Group (provider)
- Main image

- Experimental details
- Immunohistochemical of paraffin-embedded human kidney using 66084-1-Ig(APCS antibody) at dilution of 1:50 (under 10x lens)
- Sample type
- tissue
- Submitted by
- Proteintech Group (provider)
- Main image

- Experimental details
- The Serum amyloid P component antibody from Proteintech is a mouse monoclonal antibody to a fusion protein of human Serum amyloid P component. This antibody recognizes human antigen. The Serum amyloid P component antibody has been validated for the following applications: ELISA, WB, IHC analysis.