Antibody data
- Antibody Data
- Antigen structure
- References [0]
- Comments [0]
- Validations
- Immunohistochemistry [2]
Submit
Validation data
Reference
Comment
Report error
- Product number
- GTX32491 - Provider product page

- Provider
- GeneTex
- Product name
- Cathepsin G antibody
- Antibody type
- Polyclonal
- Reactivity
- Human, Mouse
- Host
- Rabbit
No comments: Submit comment
Supportive validation
- Submitted by
- GeneTex (provider)
- Main image

- Experimental details
- Immunohistochemistry of paraffin-embedded human colon using CTSG antibody at dilution of 1:100 (40x lens).
- Submitted by
- GeneTex (provider)
- Main image

- Experimental details
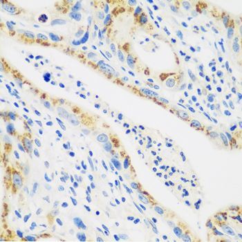
- Immunohistochemistry of paraffin-embedded human stomach cancer using CTSG antibody at dilution of 1:100 (40x lens).