Antibody data
- Antibody Data
- Antigen structure
- References [0]
- Comments [0]
- Validations
- Western blot [2]
- Immunocytochemistry [1]
- Immunohistochemistry [7]
- Flow cytometry [1]
Submit
Validation data
Reference
Comment
Report error
- Product number
- V2175 - Provider product page

- Provider
- NSJ Bioreagents
- Product name
- Cytokeratin 14 Antibody
- Antibody type
- Monoclonal
- Description
- This highly specific Cytokeratin 14 antibody is suitable for use in Flow cytometry/Immunofluorescence/Immunohistochemistry/Western blot applications with human, mouse and rat samples.
- Reactivity
- Human, Mouse, Rat
- Host
- Mouse
- Conjugate
- Unconjugated
- Antibody clone number
- LL002
- Vial size
- 20 ug (with BSA and sodium azide), 100 ug (with BSA and sodium azide), 100 ug (without BSA or sodium azide), 7 ml IHC only format (if applicable)
- Concentration
- 0.2 mg/ml, 1 mg/ml
- Storage
- Store the Cytokeratin 14 antibody at 2-8oC (with azide) or aliquot and store at -20oC or colder (without azide).
No comments: Submit comment
Supportive validation
- Submitted by
- NSJ Bioreagents (provider)
- Main image

- Experimental details
- Western blot testing of A431 cell lysate (epidermoid carcinoma) and Cytokeratin 14 antibody (clone LL002) at 1ug/ml. Predicted/observed molecular weight: ~53kDa.
- Submitted by
- NSJ Bioreagents (provider)
- Main image

- Experimental details
- Western blot testing of A431 cell lysate (epidermoid carcinoma) and Cytokeratin 14 antibody (clone LL002) at 1ug/ml. Predicted/observed molecular weight: ~53kDa.
Supportive validation
- Submitted by
- NSJ Bioreagents (provider)
- Main image

- Experimental details
- Immunofluorescent staining of human A549 cells with Cytokeratin 14 antibody (clone LL002, green) and Reddot nuclear stain (red).
Supportive validation
- Submitted by
- NSJ Bioreagents (provider)
- Main image

- Experimental details
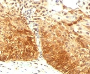
- IHC testing of human prostate (10X) stained with Cytokeratin 14 antibody (LL002).
- Submitted by
- NSJ Bioreagents (provider)
- Main image

- Experimental details
- IHC testing of human prostate (20X) stained with Cytokeratin 14 antibody (LL002).
- Submitted by
- NSJ Bioreagents (provider)
- Main image

- Experimental details
- IHC testing of FFPE human prostate with Cytokeratin 14 antibody
- Submitted by
- NSJ Bioreagents (provider)
- Main image

- Experimental details
- IHC testing of FFPE human prostate with Cytokeratin 14 antibody
- Submitted by
- NSJ Bioreagents (provider)
- Main image

- Experimental details
- IHC testing of human prostate (20X) stained with Cytokeratin 14 antibody (LL002).
- Submitted by
- NSJ Bioreagents (provider)
- Main image

- Experimental details
- IHC testing of FFPE human prostate with Cytokeratin 14 antibody
- Submitted by
- NSJ Bioreagents (provider)
- Main image

- Experimental details
- IHC testing of FFPE human prostate with Cytokeratin 14 antibody
Supportive validation
- Submitted by
- NSJ Bioreagents (provider)
- Main image

- Experimental details
- Flow cytometry staining of methanol-fixed human HeLa cells with Cytokeratin 14 antibody; Red=isotype control, Blue= Cytokeratin 14 antibody.