Antibody data
- Antibody Data
- Antigen structure
- References [2]
- Comments [0]
- Validations
- Western blot [3]
- Immunocytochemistry [1]
- Immunoprecipitation [1]
- Immunohistochemistry [1]
Submit
Validation data
Reference
Comment
Report error
- Product number
- GTX103168 - Provider product page

- Provider
- GeneTex
- Proper citation
- GeneTex Cat#GTX103168, RRID:AB_1952594
- Product name
- XPA antibody
- Antibody type
- Polyclonal
- Reactivity
- Human
- Host
- Rabbit
Submitted references Transcriptional consequences of XPA disruption in human cell lines.
DICER and ZRF1 contribute to chromatin decondensation during nucleotide excision repair.
Manandhar M, Lowery MG, Boulware KS, Lin KH, Lu Y, Wood RD
DNA repair 2017 Sep;57:76-90
DNA repair 2017 Sep;57:76-90
DICER and ZRF1 contribute to chromatin decondensation during nucleotide excision repair.
Chitale S, Richly H
Nucleic acids research 2017 Jun 2;45(10):5901-5912
Nucleic acids research 2017 Jun 2;45(10):5901-5912
No comments: Submit comment
Enhanced validation
Supportive validation
- Submitted by
- GeneTex (provider)
- Enhanced method
- Genetic validation
- Main image

- Experimental details
- Non-transfected (¡V) and transfected (+) 293T whole cell extracts (30 ?g) were separated by 10% SDS-PAGE, and the membrane was blotted with XPA antibody (GTX103168) diluted at 1:2000.
Supportive validation
- Submitted by
- GeneTex (provider)
- Main image

- Experimental details
- Sample (30 ug of whole cell lysate) A: A549 12% SDS PAGE GTX103168 diluted at 1:3000
- Validation comment
- WB
- Submitted by
- GeneTex (provider)
- Main image

- Experimental details
- Non-transfected (¡V) and transfected (+) 293T whole cell extracts (30 ?g) were separated by 10% SDS-PAGE, and the membrane was blotted with XPA antibody (GTX103168) diluted at 1:2000.
Supportive validation
- Submitted by
- GeneTex (provider)
- Main image

- Experimental details
- Immunofluorescence analysis of paraformaldehyde-fixed HeLa, using XPA(GTX103168) antibody at 1:200 dilution.
Supportive validation
- Submitted by
- GeneTex (provider)
- Main image

- Experimental details
- XPA antibody immunoprecipitates XPA protein in IP experiments. IP Sample: 1000 ?g HeLa whole cell lysate/extract A. 40 £gg HeLa whole cell lysate/extract B. Control with 2.5 £gg of preimmune rabbit IgG C. Immunoprecipitation of XPA protein by 2.5 £gg of XPA antibody (GTX103168) 12% SDS-PAGE The immunoprecipitated XPA protein was detected by XPA antibody (GTX103168) diluted at 1:1000. EasyBlot anti-rabbit IgG (GTX221666-01) was used as a secondary reagent.
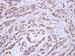
Supportive validation
- Submitted by
- GeneTex (provider)
- Main image

- Experimental details
- Immunohistochemical analysis of paraffin-embedded A549 xenograft, using XPA(GTX103168) antibody at 1:500 dilution.