Antibody data
- Antibody Data
- Antigen structure
- References [0]
- Comments [0]
- Validations
- Western blot [1]
- Immunocytochemistry [1]
- Immunohistochemistry [1]
- Flow cytometry [1]
Submit
Validation data
Reference
Comment
Report error
- Product number
- F42339 - Provider product page 
- Provider
- NSJ Bioreagents
- Product name
- Cdkn2b Antibody
- Antibody type
- Polyclonal
				No comments: Submit comment	
	
			
							
					Supportive validation
					
									
				
				- Submitted by
- NSJ Bioreagents (provider)
- Main image
 
- Experimental details
- Western blot analysis of CDKN2B antibody and 293 cell lysate either nontransfected (Lane 1) or transiently transfected (2) with the CDKN2B gene.
							
					Supportive validation
					
									
				
				- Submitted by
- NSJ Bioreagents (provider)
- Main image
 
- Experimental details
- Confocal immunofluorescent analysis of CDKN2B antibody with HeLa cells followed by Alexa Fluor 488-conjugated goat anti-rabbit lgG (green). DAPI was used as a nuclear counterstain (blue).
							
					Supportive validation
					
									
				
				- Submitted by
- NSJ Bioreagents (provider)
- Main image
 
- Experimental details
- CDKN2B antibody immunohistochemistry analysis in formalin fixed and paraffin embedded human lung carcinoma
							
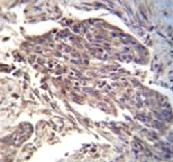
					Supportive validation
					
									
				
		- Submitted by
- NSJ Bioreagents (provider)
- Main image
 
- Experimental details
- CDKN2B antibody flow cytometric analysis of 293 cells (right histogram) compared to a negative control (left histogram). FITC-conjugated goat-anti-rabbit secondary Ab was used for the analysis.