Antibody data
- Antibody Data
- Antigen structure
- References [0]
- Comments [0]
- Validations
- Western blot [2]
- Immunohistochemistry [8]
Submit
Validation data
Reference
Comment
Report error
- Product number
- NBP2-38578 - Provider product page

- Provider
- Novus Biologicals
- Product name
- Rabbit Polyclonal Claudin-1 Antibody
- Antibody type
- Polyclonal
- Description
- Immunogen affinity purified. Specificity of human Claudin-1 antibody verified on a Protein Array containing target protein plus 383 other non-specific proteins.
- Reactivity
- Human
- Host
- Rabbit
- Isotype
- IgG
- Vial size
- 0.1 ml
- Storage
- Store at 4C short term. Aliquot and store at -20C long term. Avoid freeze-thaw cycles.
No comments: Submit comment
Supportive validation
- Submitted by
- Novus Biologicals (provider)
- Main image

- Experimental details
- Western Blot: Claudin-1 Antibody [NBP2-38578] - Lane 1: Marker [kDa] 250, 130, 95, 72, 55, 36, 28, 17, 10. Lane 2: Human cell line RT-4
- Submitted by
- Novus Biologicals (provider)
- Main image

- Experimental details
- Western Blot: Claudin-1 Antibody [NBP2-38578] - Analysis in human cell lines A-431 and U-251MG. Corresponding RNA-seq data are presented for the same cell lines. Loading control: Anti-HSP90B1.
Supportive validation
- Submitted by
- Novus Biologicals (provider)
- Main image

- Experimental details
- Immunohistochemistry: Claudin-1 Antibody [NBP2-38578] - Staining of human liver shows distinct membranous and cytoplasmic positivity in hepatocytes and bile duct cells.
- Submitted by
- Novus Biologicals (provider)
- Main image

- Experimental details
- Immunohistochemistry-Paraffin: Claudin-1 Antibody [NBP2-38578] - Staining of human skeletal muscle shows low expression as expected.
- Submitted by
- Novus Biologicals (provider)
- Main image

- Experimental details
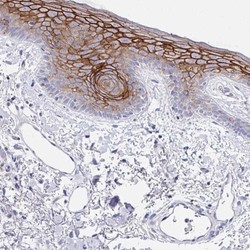
- Immunohistochemistry-Paraffin: Claudin-1 Antibody [NBP2-38578] - Staining of human skin shows high expression.
- Submitted by
- Novus Biologicals (provider)
- Main image

- Experimental details
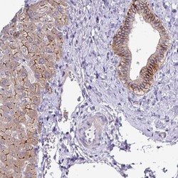
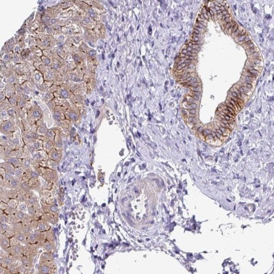
- Immunohistochemistry-Paraffin: Claudin-1 Antibody [NBP2-38578] - Staining of human fallopian tube shows moderate to strong membranous positivity in glandular cells.
- Submitted by
- Novus Biologicals (provider)
- Main image

- Experimental details
- Immunohistochemistry-Paraffin: Claudin-1 Antibody [NBP2-38578] - Staining of human liver shows moderate membranous positivity in hepatocytes.
- Submitted by
- Novus Biologicals (provider)
- Main image

- Experimental details
- Immunohistochemistry-Paraffin: Claudin-1 Antibody [NBP2-38578] - Staining of human skeletal muscle shows no positivity in myocytes as expected.
- Submitted by
- Novus Biologicals (provider)
- Main image

- Experimental details
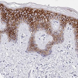
- Immunohistochemistry-Paraffin: Claudin-1 Antibody [NBP2-38578] - Staining of human skin shows strong membranous positivity in squamous epithelial cells.
- Submitted by
- Novus Biologicals (provider)
- Main image

- Experimental details
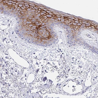
- Immunohistochemistry-Paraffin: Claudin-1 Antibody [NBP2-38578] - Staining in human skin and skeletal muscle tissues using NBP2-38578 antibody. Corresponding CLDN1 RNA-seq data are presented for the same tissues.