Antibody data
- Antibody Data
- Antigen structure
- References [1]
- Comments [0]
- Validations
- Immunohistochemistry [2]
Submit
Validation data
Reference
Comment
Report error
- Product number
- GTX15106 - Provider product page

- Provider
- GeneTex
- Proper citation
- GeneTex Cat#GTX15106, RRID:AB_367652
- Product name
- Claudin 5 antibody
- Antibody type
- Polyclonal
- Reactivity
- Human, Mouse
- Host
- Rabbit
- Storage
- Keep as concentrated solution, aliquot and store at 4°C. Do not freeze.
Submitted references Adenoma-linked barrier defects and microbial products drive IL-23/IL-17-mediated tumour growth.
Grivennikov SI, Wang K, Mucida D, Stewart CA, Schnabl B, Jauch D, Taniguchi K, Yu GY, Osterreicher CH, Hung KE, Datz C, Feng Y, Fearon ER, Oukka M, Tessarollo L, Coppola V, Yarovinsky F, Cheroutre H, Eckmann L, Trinchieri G, Karin M
Nature 2012 Nov 8;491(7423):254-8
Nature 2012 Nov 8;491(7423):254-8
No comments: Submit comment
Supportive validation
- Submitted by
- GeneTex (provider)
- Main image

- Experimental details
- Immunohistochemical analysis of paraffin-embedded mouse colon sections stained with anti-Claudin 5 antibody (GTX15106)
- Submitted by
- GeneTex (provider)
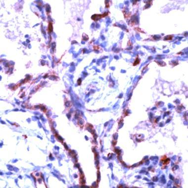
- Main image

- Experimental details
- Human Lung stained with anti-Claudin-5 antibody (GTX15106)