Antibody data
- Antibody Data
- Antigen structure
- References [0]
- Comments [0]
- Validations
- Western blot [2]
- Immunohistochemistry [2]
Submit
Validation data
Reference
Comment
Report error
- Product number
- ABIN407631 - Provider product page
- Provider
- antibodies-online
- Product name
- anti-Claudin 2 (CLDN2) antibody
- Antibody type
- Polyclonal
- Description
- Immunogen affinity purified
- Reactivity
- Human, Mouse, Rat
- Host
- Rabbit
- Vial size
- 0.1 mL
- Storage
- Store at 4°C short term. Aliquot and store at -20°C long term. Avoid freeze-thaw cycles.
- Handling
- Avoid freeze-thaw cycles
No comments: Submit comment
Supportive validation
- Submitted by
- antibodies-online (provider)
- Main image
- Experimental details
- WB
- Submitted by
- antibodies-online (provider)
- Main image
- Experimental details
- WB
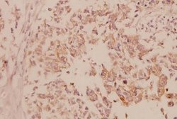
Supportive validation
- Submitted by
- antibodies-online (provider)
- Main image
- Experimental details
- IHC
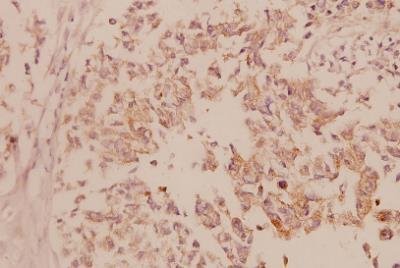
- Submitted by
- antibodies-online (provider)
- Main image
- Experimental details
- IHC