Antibody data
- Antibody Data
- Antigen structure
- References [0]
- Comments [0]
- Validations
- Immunocytochemistry [1]
- Immunohistochemistry [1]
Submit
Validation data
Reference
Comment
Report error
- Product number
- 11288 - Provider product page

- Provider
- Signalway Antibody LLC
- Product name
- BIM(Phospho-Ser69) Antibody
- Antibody type
- Polyclonal
- Antigen
- The antibody detects endogenous level of BIM only when phosphorylated at serine 69.
- Host
- Rabbit
- Conjugate
- Unconjugated
- Vial size
- 50µl
No comments: Submit comment
Supportive validation
- Submitted by
- Signalway Antibody LLC (provider)
- Main image

- Experimental details
- Immunofluorescence staining of methanol-fixed Hela cells using BIM(Phospho-Ser69) Antibody #11288.
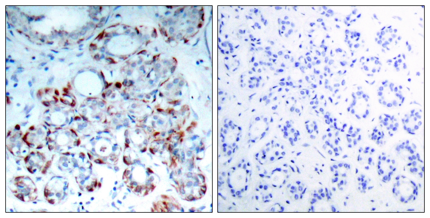
Supportive validation
- Submitted by
- Signalway Antibody LLC (provider)
- Main image

- Experimental details
- Immunohistochemical analysis of paraffin-embedded human breast carcinoma tissue using BIM(Phospho-Ser69) Antibody #11288(left) or the same antibody preincubated with blocking peptide(right).