Antibody data
- Antibody Data
- Antigen structure
- References [0]
- Comments [0]
- Validations
- Western blot [3]
- Immunocytochemistry [1]
- Immunohistochemistry [3]
Submit
Validation data
Reference
Comment
Report error
- Product number
- RQ4739 - Provider product page

- Provider
- NSJ Bioreagents
- Product name
- BCL2L11 Antibody / BIM
- Antibody type
- Monoclonal
- Description
- This highly specific BCL2L11 antibody is suitable for use in Immunohistochemistry/Western blot/Immunofluorescence applications with human samples.
- Reactivity
- Human
- Host
- Rabbit
- Conjugate
- Unconjugated
- Antibody clone number
- CBE-2
- Vial size
- 100 ul
- Concentration
- Antibody in PBS with 0.02% sodium azide, 50% glycerol and 0.4-0.5mg/ml BSA
- Storage
- Store the BCL2L11 antibody at -20oC.
No comments: Submit comment
Supportive validation
- Submitted by
- NSJ Bioreagents (provider)
- Main image

- Experimental details
- Western blot testing of human A431 cell lysate with BCL2L11 antibody. Predicted molecular weight: 12-22 kDa (three isoforms).
- Submitted by
- NSJ Bioreagents (provider)
- Main image

- Experimental details
- Western blot testing of human A431 cell lysate with BCL2L11 antibody. Predicted molecular weight: 12-22 kDa (three isoforms).
- Submitted by
- NSJ Bioreagents (provider)
- Main image

- Experimental details
- Western blot testing of 1) human HeLa, 2) human 293, 3) mouse spleen, 4) rat liver, 5) rat spleen, 6) mouse stomach and 7) mouse testis tissue lysate with BCL2L11 antibody. Predicted molecular weight: 12-22 kDa (three isoforms).
Supportive validation
- Submitted by
- NSJ Bioreagents (provider)
- Main image

- Experimental details
- Immunofluorescent staining of FFPE human Raji cells with BCL2L11 antibody (green) and DAPI nuclear stain (blue).
Supportive validation
- Submitted by
- NSJ Bioreagents (provider)
- Main image

- Experimental details
- IHC staining of FFPE human cervix with BCL2L11 antibody. HIER: boil tissue sections in pH6, 10mM citrate buffer, for 10-20 min and allow to cool before testing.
- Submitted by
- NSJ Bioreagents (provider)
- Main image

- Experimental details
- IHC staining of FFPE human esophageal carcinoma tissue with BCL2L11 antibody. HIER: boil tissue sections in pH6, 10mM citrate buffer, for 10-20 min and allow to cool before testing.
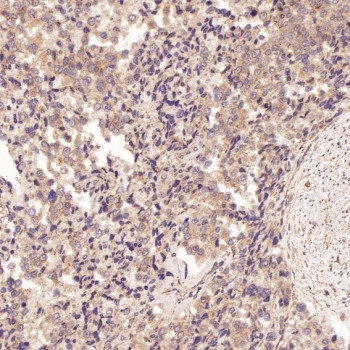
- Submitted by
- NSJ Bioreagents (provider)
- Main image

- Experimental details
- IHC staining of FFPE human prostate cancer tissue with BCL2L11 antibody. HIER: boil tissue sections in pH6, 10mM citrate buffer, for 10-20 min and allow to cool before testing.