Antibody data
- Antibody Data
- Antigen structure
- References [0]
- Comments [0]
- Validations
- Western blot [1]
- Immunohistochemistry [2]
Submit
Validation data
Reference
Comment
Report error
- Product number
- ARG53256 - Provider product page

- Provider
- Arigo
- Product name
- anti-MAGE-A1 antibody [SP188]
- Antibody type
- Monoclonal
- Antigen
- Synthetic peptide derived from the C-terminus of human MAGE-A1 protein.
- Description
- Purified by protein A/G
- Reactivity
- Human
- Host
- Rabbit
- Isotype
- IgG
- Antibody clone number
- SP188
- Vial size
- 100 µl
- Storage
- Aliquot and store at 2-8°C. Do not freeze. The antibody solution should be gently mixed before use.
- Handling
- The antibody solution should be gently mixed before use.
No comments: Submit comment
Supportive validation
- Submitted by
- Arigo (provider)
- Main image

- Experimental details
- Western Blot: HeLa Cell Lysate stained with MAGE-A1 antibody [SP188] (ARG53256)
Supportive validation
- Submitted by
- Arigo (provider)
- Main image

- Experimental details
- Immunohistochemistry: Human Testis stained with MAGE-A1 antibody [SP188] (ARG53256)
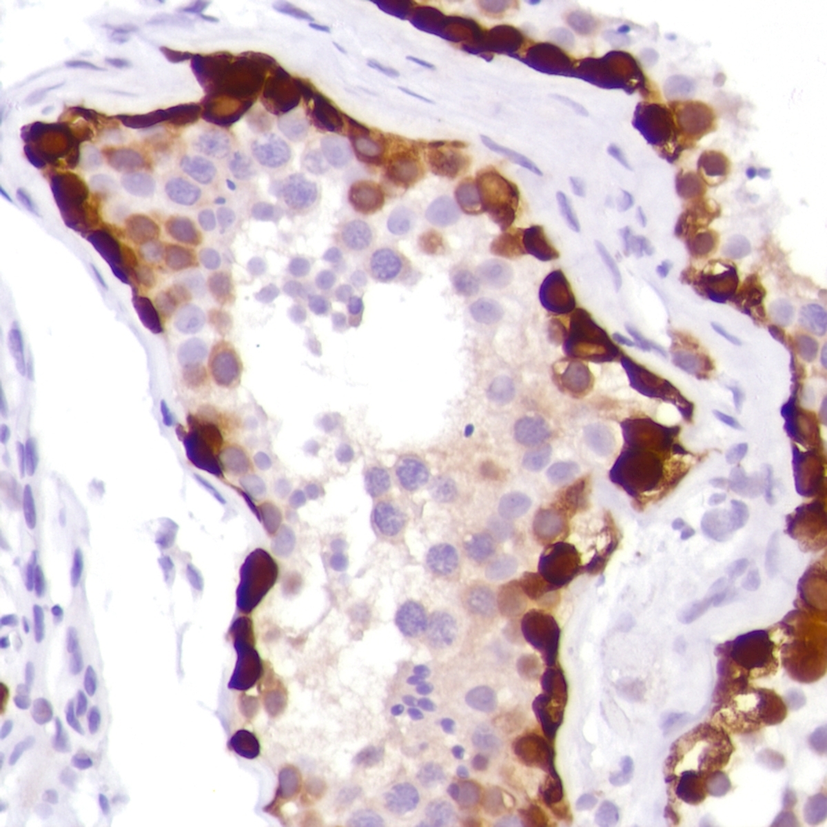
- Submitted by
- Arigo (provider)
- Main image

- Experimental details
- Immunohistochemistry: Human Skin Squamous Cell Carcinoma stained with MAGE-A1 antibody [SP188] (ARG53256)