Antibody data
- Antibody Data
- Antigen structure
- References [0]
- Comments [0]
- Validations
- Western blot [1]
- Immunohistochemistry [10]
Submit
Validation data
Reference
Comment
Report error
- Product number
- ARG52480 - Provider product page

- Provider
- Arigo
- Product name
- anti-beta Actin antibody [SP124] (Ready-to-Use)
- Antibody type
- Monoclonal
- Antigen
- Synthetic peptide near the N-terminus of human actin-beta protein.
- Description
- Purified by protein A/G
- Reactivity
- Human
- Host
- Rabbit
- Isotype
- IgG
- Antibody clone number
- SP124
- Vial size
- 7 ml
- Concentration
- Ready to use
- Storage
- Aliquot and store at 2-8°C. Do not freeze. The antibody solution should be gently mixed before use.
- Handling
- The antibody solution should be gently mixed before use.
No comments: Submit comment
Supportive validation
- Submitted by
- Arigo (provider)
- Main image

- Experimental details
- Western Blot: Placenta stained with Actin-beta antibody [SP124]
Supportive validation
- Submitted by
- Arigo (provider)
- Main image

- Experimental details
- Immunohistochemistry: Human Bladder Transitional Cell Carcinoma stained with Actin-beta antibody [SP124] (ARG52479)
- Submitted by
- Arigo (provider)
- Main image

- Experimental details
- Immunohistochemistry: Human Breast stained with Actin-beta antibody [SP124] (ARG52479)
- Submitted by
- Arigo (provider)
- Main image

- Experimental details
- Immunohistochemistry: Human Cervix stained with Actin-beta antibody [SP124] (ARG52479)
- Submitted by
- Arigo (provider)
- Main image

- Experimental details
- Immunohistochemistry: Human Colon stained with Actin-beta antibody [SP124] (ARG52479)
- Submitted by
- Arigo (provider)
- Main image

- Experimental details
- Immunohistochemistry: Human Kidney stained with Actin-beta antibody [SP124] (ARG52479)
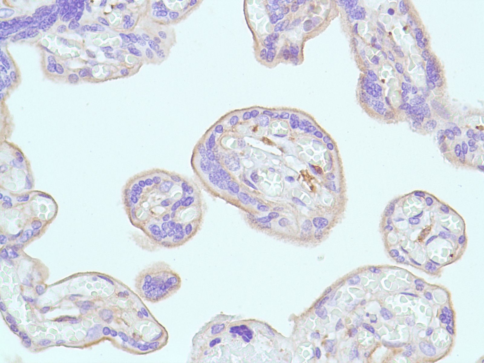
- Submitted by
- Arigo (provider)
- Main image

- Experimental details
- Immunohistochemistry: Human Placenta stained with Actin-beta antibody [SP124] (ARG52479)
- Submitted by
- Arigo (provider)
- Main image

- Experimental details
- Immunohistochemistry: Human Prostate stained with Actin-beta antibody [SP124] (ARG52479)
- Submitted by
- Arigo (provider)
- Main image

- Experimental details
- Immunohistochemistry: Human Stomach Adenocarcinoma stained with Actin-beta antibody [SP124] (ARG52479)
- Submitted by
- Arigo (provider)
- Main image

- Experimental details
- Immunohistochemistry: Human Stomach stained with Actin-beta antibody [SP124] (ARG52479)
- Submitted by
- Arigo (provider)
- Main image

- Experimental details
- Immunohistochemistry: Human Tonsil stained with Actin-beta antibody [SP124] (ARG52479)