Antibody data
- Antibody Data
- Antigen structure
- References [0]
- Comments [0]
- Validations
- Western blot [1]
- Immunohistochemistry [3]
Submit
Validation data
Reference
Comment
Report error
- Product number
- NBP2-67605 - Provider product page

- Provider
- Novus Biologicals
- Product name
- Rabbit Monoclonal CD21 Antibody
- Antibody type
- Monoclonal
- Description
- Protein A purified.
- Reactivity
- Human, Mouse
- Host
- Rabbit
- Isotype
- IgG
- Vial size
- 100 ul
- Storage
- Store at 4C short term. Aliquot and store at -20C long term. Avoid freeze-thaw cycles.
No comments: Submit comment
Supportive validation
- Submitted by
- Novus Biologicals (provider)
- Main image

- Experimental details
- Western Blot: CD21 Antibody (SC0681) [NBP2-67605] - Analysis of CD21 on different lysates using anti-CD21 antibody at 1/1,000 dilution. Positive control: Lane 1: Daudi Lane 2: Raji
Supportive validation
- Submitted by
- Novus Biologicals (provider)
- Main image

- Experimental details
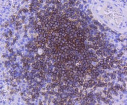
- Immunohistochemistry-Paraffin: CD21 Antibody (SC0681) [NBP2-67605] - Analysis of paraffin-embedded human spleen tissue using anti-CD21 antibody. Counter stained with hematoxylin.
- Submitted by
- Novus Biologicals (provider)
- Main image

- Experimental details
- Immunohistochemistry-Paraffin: CD21 Antibody (SC0681) [NBP2-67605] - Analysis of paraffin-embedded human gastric cancer tissue using anti-CD21 antibody. Counter stained with hematoxylin.
- Submitted by
- Novus Biologicals (provider)
- Main image

- Experimental details
- Immunohistochemistry-Paraffin: CD21 Antibody (SC0681) [NBP2-67605] - Analysis of paraffin-embedded human tonsil tissue using anti-CD21 antibody. Counter stained with hematoxylin.