Antibody data
- Antibody Data
- Antigen structure
- References [0]
- Comments [0]
- Validations
- Western blot [1]
- Immunohistochemistry [1]
Submit
Validation data
Reference
Comment
Report error
- Product number
- F48381 - Provider product page

- Provider
- NSJ Bioreagents
- Product name
- Phospho-cdc25b Antibody
- Antibody type
- Polyclonal
No comments: Submit comment
Supportive validation
- Submitted by
- NSJ Bioreagents (provider)
- Main image

- Experimental details
- Western blot testing of phospho-CDC25B antibody and HEPG2 lysate.
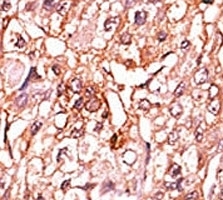
Supportive validation
- Submitted by
- NSJ Bioreagents (provider)
- Main image

- Experimental details
- IHC analysis of FFPE human hepatocarcinoma tissue stained with the CDC25B antibody.