Antibody data
- Antibody Data
- Antigen structure
- References [0]
- Comments [0]
- Validations
- Western blot [1]
- Immunocytochemistry [1]
- Immunohistochemistry [1]
Submit
Validation data
Reference
Comment
Report error
- Product number
- PAB29433 - Provider product page

- Provider
- Abnova Corporation
- Product name
- CLTA polyclonal antibody
- Antibody type
- Polyclonal
- Description
- Rabbit polyclonal antibody raised against recombinant human CLTA.
- Antigen sequence
NDEAFAILDGGAPGPQPHGEPPGGPDAVDGVMNGE
YYQESNGPTDSYAAISQVDRLQSEPE- Isotype
- IgG
- Storage
- Store at 4°C. For long term storage store at -20°C.Aliquot to avoid repeated freezing and thawing.
No comments: Submit comment
Supportive validation
- Submitted by
- Abnova Corporation (provider)
- Main image

- Experimental details
- Western blot analysis of Lane 1: Human cell line RT-4 Lane 2: Human cell line U-251MG Lane 3: Human plasma Lane 4: Human liver tissue Lane 5: Human tonsil tissue with CLTA polyclonal antibody (Cat # PAB29433) at 1:250-1:500 dilution.
Supportive validation
- Submitted by
- Abnova Corporation (provider)
- Main image

- Experimental details
- Immunofluorescent staining of human cell line U-251 MG with CLTA polyclonal antibody (Cat # PAB29433) at 1-4 ug/mL concentration shows positivity in vesicles.
- Validation comment
- Immunofluorescence
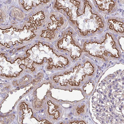
Supportive validation
- Submitted by
- Abnova Corporation (provider)
- Main image

- Experimental details
- Immunohistochemical staining of human kidney with CLTA polyclonal antibody (Cat # PAB29433) shows strong membranous positivity in cells in tubules at 1:2500-1:5000 dilution.
- Validation comment
- Immunohistochemistry (Formalin/PFA-fixed paraffin-embedded sections)