Antibody data
- Antibody Data
- Antigen structure
- References [0]
- Comments [0]
- Validations
- Immunohistochemistry [1]
Submit
Validation data
Reference
Comment
Report error
- Product number
- R1511 - Provider product page

- Provider
- Acris Antibodies GmbH
- Proper citation
- Acris Antibodies GmbH Cat#R1511, RRID:AB_979081
- Product name
- anti Cullin-3 (N-term)
- Antibody type
- Polyclonal
- Antigen
- Synthetic peptide corresponding to amino acids 1-12 of Human Cul3 (N-terminus) coupled to KLH.
- Reactivity
- Human, Mouse
- Host
- Rabbit
- Vial size
- 0.1 ml
- Concentration
- 85.0 mg/ml (by Refractometry)
No comments: Submit comment
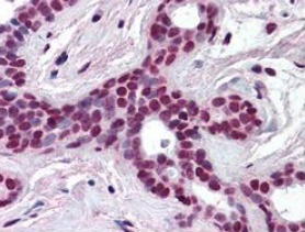
Supportive validation
- Submitted by
- Acris Antibodies GmbH (provider)
- Main image

- Experimental details
- Immunohistochemistry:The anti-CUL3 antibody was diluted 1:500 to detect CUL3 in human breast tissue. Tissue was formalin fixed and paraffin embedded. No pre-treatment of sample was required. The image shows the localization of antibody as the precipitated red signal, with a hematoxylin purple nuclear counter stain.