Antibody data
- Antibody Data
- Antigen structure
- References [1]
- Comments [0]
- Validations
- Immunohistochemistry [1]
Submit
Validation data
Reference
Comment
Report error
- Product number
- M00015 - Provider product page

- Provider
- Boster Biological Technology
- Product name
- Anti-Apolipoprotein E APOE Monoclonal Antibody
- Antibody type
- Monoclonal
- Description
- Rabbit IgG Monoclonal antibody for Apolipoprotein E detection. Tested positive for WB, IHC, ICC/IF, IP in Human, Mouse.
- Reactivity
- Human, Mouse
- Host
- Rabbit
- Antibody clone number
- AbA15
- Vial size
- 100ug
- Concentration
- 0.5-1mg/ml, actual concentration vary by lot. Use suggested dilution ratio to decide dilution procedure.
- Storage
- At -20°C for one year. Avoid repeated freezing and thawing.
Submitted references Human ApoE2 protects mice against Plasmodium berghei ANKA experimental cerebral malaria.
Liang R, Rao H, Pang Q, Xu R, Jiao Z, Lin L, Li L, Zhong L, Zhang Y, Guo Y, Xiao N, Liu S, Chen X-F, Su X-z, Li J
mBio 2023 Dec 19;14(6):e0234623
mBio 2023 Dec 19;14(6):e0234623
No comments: Submit comment
Supportive validation
- Submitted by
- Boster Biological Technology (provider)
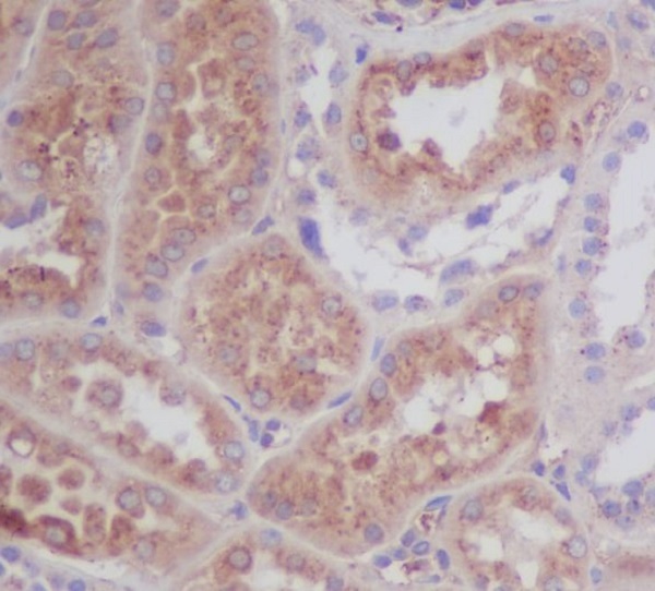
- Main image

- Experimental details
- IHC analysis of APOE using anti-APOE antibody (M00015) on paraffin-embedded human kidney.APOE was detected in paraffin-embedded section. Heat mediated antigen retrieval was performed in citrate buffer (pH6, epitope retrieval solution) for 20 mins. The tissue section was blocked with 10% goat serum. The tissue section was then incubated with 1ug/ml rabbit anti-APOE Antibody (M00015) overnight at 4°C. Biotinylated goat anti Rabbit IgG IgG antibody was used as secondary antibody and incubated for 30 minutes at 37°C. The tissue section was developed using Strepavidin-Biotin-Complex (SABC)(Catalog # SA1022) with DAB as the chromogen.
- Additional image
