Antibody data
- Antibody Data
- Antigen structure
- References [0]
- Comments [0]
- Validations
- Western blot [1]
- Immunohistochemistry [1]
Submit
Validation data
Reference
Comment
Report error
- Product number
- GTX112679 - Provider product page

- Provider
- GeneTex
- Proper citation
- GeneTex Cat#GTX112679, RRID:AB_1949959
- Product name
- CEACAM6 antibody [N1C1]
- Antibody type
- Polyclonal
- Reactivity
- Human
- Host
- Rabbit
No comments: Submit comment
Supportive validation
- Submitted by
- GeneTex (provider)
- Main image

- Experimental details
- Sample (30 ug of whole cell lysate) A: Molt-4 (GTX27912) B: Raji 10% SDS PAGE GTX112679 diluted at 1:1000
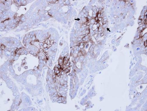
Supportive validation
- Submitted by
- GeneTex (provider)
- Main image

- Experimental details
- Immunohistochemical analysis of paraffin-embedded NCIN87 xenograft , using CEACAM6 (GTX112679) antibody at 1:100 dilution.