Antibody data
- Antibody Data
- Antigen structure
- References [0]
- Comments [0]
- Validations
- Western blot [1]
- Immunohistochemistry [4]
Submit
Validation data
Reference
Comment
Report error
- Product number
- NBP2-75476 - Provider product page

- Provider
- Novus Biologicals
- Product name
- Rabbit Monoclonal EAAT3 Antibody
- Antibody type
- Monoclonal
- Description
- Protein A purified.
- Reactivity
- Human, Mouse, Rat
- Host
- Rabbit
- Isotype
- IgG
- Vial size
- 100 ul
- Storage
- Store at 4C short term. Aliquot and store at -20C long term. Avoid freeze-thaw cycles.
No comments: Submit comment
Supportive validation
- Submitted by
- Novus Biologicals (provider)
- Main image

- Experimental details
- Western Blot: EAAT3 Antibody (JU39-69) [NBP2-75476] - Analysis of EAAT3 on mouse liver tissue lysate using anti-EAAT3 antibody at 1/500 dilution.
Supportive validation
- Submitted by
- Novus Biologicals (provider)
- Main image

- Experimental details
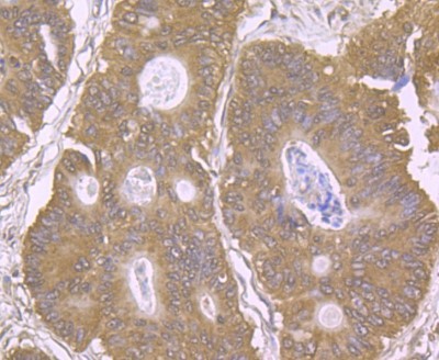
- Immunohistochemistry-Paraffin: EAAT3 Antibody (JU39-69) [NBP2-75476] - Analysis of paraffin-embedded human colon cancer tissue using anti-EAAT3 antibody. Counter stained with hematoxylin.
- Submitted by
- Novus Biologicals (provider)
- Main image

- Experimental details
- Immunohistochemistry-Paraffin: EAAT3 Antibody (JU39-69) [NBP2-75476] - Analysis of paraffin-embedded human kidney tissue using anti-EAAT3 antibody. Counter stained with hematoxylin.
- Submitted by
- Novus Biologicals (provider)
- Main image

- Experimental details
- Immunohistochemistry-Paraffin: EAAT3 Antibody (JU39-69) [NBP2-75476] - Analysis of paraffin-embedded rat brain tissue using anti-EAAT3 antibody. Counter stained with hematoxylin.
- Submitted by
- Novus Biologicals (provider)
- Main image

- Experimental details
- Immunohistochemistry-Paraffin: EAAT3 Antibody (JU39-69) [NBP2-75476] - Analysis of paraffin-embedded human tonsil tissue using anti-EAAT3 antibody. Counter stained with hematoxylin.