Antibody data
- Antibody Data
- Antigen structure
- References [0]
- Comments [0]
- Validations
- Western blot [1]
- Immunohistochemistry [11]
Submit
Validation data
Reference
Comment
Report error
- Product number
- ARG52923 - Provider product page

- Provider
- Arigo
- Product name
- anti-Cyclin D1 antibody [SP4]
- Antibody type
- Monoclonal
- Antigen
- Synthetic peptide from C-terminus of human cyclin D1.
- Reactivity
- Human, Mouse, Rat
- Host
- Rabbit
- Isotype
- IgG
- Antibody clone number
- SP4
- Vial size
- 500 µl
- Storage
- Aliquot and store at 2-8°C. Do not freeze. The antibody solution should be gently mixed before use.
- Handling
- The antibody solution should be gently mixed before use.
No comments: Submit comment
Supportive validation
- Submitted by
- Arigo (provider)
- Main image

- Experimental details
- Western blot: 30 µg of 1) HeLa, 2) SW480, 3) 3T3, and 4) Mouse kidney lysate stained with ARG52923 anti-Cyclin D1 antibody [SP4] at 1:500 dilution.Data provided by customer.
Supportive validation
- Submitted by
- Arigo (provider)
- Main image

- Experimental details
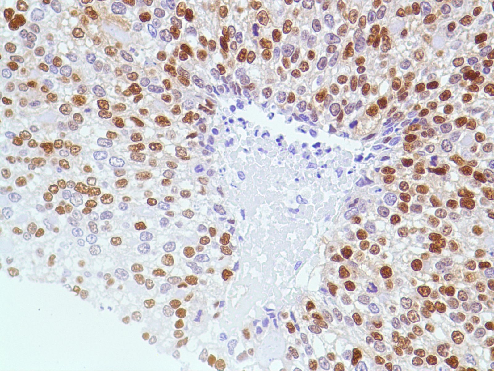
- Immunohistochemistry: Human B Cell Lymphoma stained with Cyclin D1 antibody [SP4] (ARG52923)
- Submitted by
- Arigo (provider)
- Main image

- Experimental details
- Immunohistochemistry: Human Endometrial Adenocarcinoma stained with Cyclin D1 antibody [SP4] (ARG52923)
- Submitted by
- Arigo (provider)
- Main image

- Experimental details
- Immunohistochemistry: Human HK Lymphoma stained with Cyclin D1 antibody [SP4] (ARG52923)
- Submitted by
- Arigo (provider)
- Main image

- Experimental details
- Immunohistochemistry: Human Lung Adenocarcinoma stained with Cyclin D1 antibody [SP4] (ARG52923)
- Submitted by
- Arigo (provider)
- Main image

- Experimental details
- Immunohistochemistry: Human Mantle Cell Lymphoma stained with Cyclin D1 antibody [SP4] (ARG52923)
- Submitted by
- Arigo (provider)
- Main image

- Experimental details
- Immunohistochemistry: Human Ovarian Adenocarcinoma stained with Cyclin D1 antibody [SP4] (ARG52923)
- Submitted by
- Arigo (provider)
- Main image

- Experimental details
- Immunohistochemistry: Human Pancreatic Adenocarcinoma stained with Cyclin D1 antibody [SP4] (ARG52923)
- Submitted by
- Arigo (provider)
- Main image

- Experimental details
- Immunohistochemistry: Human Prostate Adenocarcinoma stained with Cyclin D1 antibody [SP4] (ARG52923)
- Submitted by
- Arigo (provider)
- Main image

- Experimental details
- Immunohistochemistry: Human Renal Cell Carcinoma stained with Cyclin D1 antibody [SP4] (ARG52923)
- Submitted by
- Arigo (provider)
- Main image

- Experimental details
- Immunohistochemistry: Human Tonsil stained with Cyclin D1 antibody [SP4] (ARG52923)
- Submitted by
- Arigo (provider)
- Main image

- Experimental details
- Immunohistochemistry: Human Mantle Cell Lymphoma stained with Cyclin D1 antibody [SP4] (ARG52923)