Antibody data
- Antibody Data
- Antigen structure
- References [5]
- Comments [0]
- Validations
- Immunohistochemistry [3]
Submit
Validation data
Reference
Comment
Report error
- Product number
- AM32812PU-S - Provider product page

- Provider
- Acris Antibodies GmbH
- Product name
- anti MART-1
- Antibody type
- Monoclonal
- Antigen
- Recombinant Human MART-1 protein.
- Reactivity
- Human
- Host
- Mouse
- Isotype
- IgG
- Antibody clone number
- M2-7C10
- Vial size
- 0.1 mg
- Concentration
- 0.2 mg/ml
Submitted references Tumor cell plasticity and angiogenesis in human melanomas.
Incidentally discovered distant cutaneous metastasis of sacral chordoma: a case with variation in S100 protein expression (compared to the primary tumor) and review of the literature.
MART-1 is required for the function of the melanosomal matrix protein PMEL17/GP100 and the maturation of melanosomes.
Production of recombinant MART-1 proteins and specific antiMART-1 polyclonal and monoclonal antibodies: use in the characterization of the human melanoma antigen MART-1.
Analysis of expression of the melanoma-associated antigens MART-1 and gp100 in metastatic melanoma cell lines and in in situ lesions.
Mihic-Probst D, Ikenberg K, Tinguely M, Schraml P, Behnke S, Seifert B, Civenni G, Sommer L, Moch H, Dummer R
PloS one 2012;7(3):e33571
PloS one 2012;7(3):e33571
Incidentally discovered distant cutaneous metastasis of sacral chordoma: a case with variation in S100 protein expression (compared to the primary tumor) and review of the literature.
Collins GR, Essary L, Strauss J, Hino P, Cockerell CJ
Journal of cutaneous pathology 2012 Jun;39(6):637-43
Journal of cutaneous pathology 2012 Jun;39(6):637-43
MART-1 is required for the function of the melanosomal matrix protein PMEL17/GP100 and the maturation of melanosomes.
Hoashi T, Watabe H, Muller J, Yamaguchi Y, Vieira WD, Hearing VJ
The Journal of biological chemistry 2005 Apr 8;280(14):14006-16
The Journal of biological chemistry 2005 Apr 8;280(14):14006-16
Production of recombinant MART-1 proteins and specific antiMART-1 polyclonal and monoclonal antibodies: use in the characterization of the human melanoma antigen MART-1.
Kawakami Y, Battles JK, Kobayashi T, Ennis W, Wang X, Tupesis JP, Marincola FM, Robbins PF, Hearing VJ, Gonda MA, Rosenberg SA
Journal of immunological methods 1997 Mar 10;202(1):13-25
Journal of immunological methods 1997 Mar 10;202(1):13-25
Analysis of expression of the melanoma-associated antigens MART-1 and gp100 in metastatic melanoma cell lines and in in situ lesions.
Marincola FM, Hijazi YM, Fetsch P, Salgaller ML, Rivoltini L, Cormier J, Simonis TB, Duray PH, Herlyn M, Kawakami Y, Rosenberg SA
Journal of immunotherapy with emphasis on tumor immunology : official journal of the Society for Biological Therapy 1996 May;19(3):192-205
Journal of immunotherapy with emphasis on tumor immunology : official journal of the Society for Biological Therapy 1996 May;19(3):192-205
No comments: Submit comment
Supportive validation
- Submitted by
- Acris Antibodies GmbH (provider)
- Main image

- Experimental details
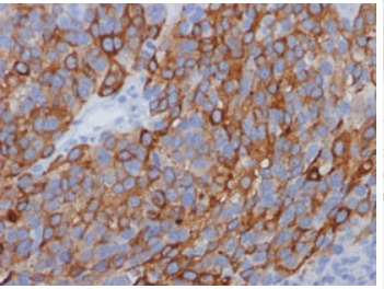
- Formalin-Fixed, Paraffin-Embedded Human melanoma stained with MART-1 Antibody Cat.No AM32812PU (Clone M2-7C10). Note cytoplasmic staining of cells.
- Submitted by
- Acris Antibodies GmbH (provider)
- Main image

- Experimental details
- Formalin-Fixed, Paraffin-Embedded Human melanoma stained with MART-1 Antibody Cat.No AM32812PU (Clone M2-7C10). Note cytoplasmic staining of cells.
- Submitted by
- Acris Antibodies GmbH (provider)
- Main image

- Experimental details
- Formalin-Fixed, Paraffin-Embedded Human melanoma stained with MART-1 Antibody Cat.No AM32812PU (Clone M2-7C10). Note cytoplasmic staining of cells.