Antibody data
- Antibody Data
- Antigen structure
- References [0]
- Comments [0]
- Validations
- Immunohistochemistry [1]
Submit
Validation data
Reference
Comment
Report error
- Product number
- GTX20785 - Provider product page

- Provider
- GeneTex
- Proper citation
- GeneTex Cat#GTX20785, RRID:AB_367795
- Product name
- Melan A antibody [A103]
- Antibody type
- Monoclonal
- Reactivity
- Human, Mouse
- Host
- Mouse
No comments: Submit comment
Supportive validation
- Submitted by
- GeneTex (provider)
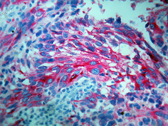
- Main image

- Experimental details
- IHC-P analysis of human melanoma using Melan A antibody [A103].