Antibody data
- Antibody Data
- Antigen structure
- References [1]
- Comments [0]
- Validations
- Western blot [2]
- Immunocytochemistry [1]
- Immunohistochemistry [2]
Submit
Validation data
Reference
Comment
Report error
- Product number
- GTX100065 - Provider product page

- Provider
- GeneTex
- Proper citation
- GeneTex Cat#GTX100065, RRID:AB_1949975
- Product name
- Chk1 (phospho Ser345) antibody [C1C2], Internal
- Antibody type
- Polyclonal
- Reactivity
- Human, Mouse
- Host
- Rabbit
Submitted references p22phox confers resistance to cisplatin, by blocking its entry into the nucleus.
Hung CC, Chien CY, Chiang WF, Lin CS, Hour TC, Chen HR, Wang LF, Ko JY, Chang CH, Chen JY
Oncotarget 2015 Feb 28;6(6):4110-25
Oncotarget 2015 Feb 28;6(6):4110-25
No comments: Submit comment
Supportive validation
- Submitted by
- GeneTex (provider)
- Main image

- Experimental details
- Sample (30 ?g of whole cell lysate) A: HCT116 cells with mock treatment for 24 hr B: HCT116 cells with 30 ?M cisplatin treatment for 24 hr 10% SDS PAGE GTX100065 diluted at 1:500 The HRP-conjugated anti-rabbit IgG antibody (GTX213110-01) was used to detect the primary antibody.
- Submitted by
- GeneTex (provider)
- Main image

- Experimental details
- Sample: 20 ?g of HCT116 P53 whole cell lysate 10% SDS PAGE Chk1-phopho-S345 antibody GTX100065 diluted at 1:1000 The HRP-conjugated anti-rabbit IgG antibody (GTX213110-01) was used to detect the primary antibody.
Supportive validation
- Submitted by
- GeneTex (provider)
- Main image

- Experimental details
- Chk1 (phospho Ser345) antibody [C1C2], Internal detects Chk1 (phospho Ser345) protein at nucleus by immunofluorescent analysis. Samples: HeLa cells mock (left) and treated with 100 J/m2 UVC and recover for 8 hrs (right) were fixed in 4% paraformaldehyde at RT for 15 min.Green: Chk1 (phospho Ser345) protein stained by Chk1 (phospho Ser345) antibody [C1C2], Internal (GTX100065) diluted at 1:500.Blue: Hoechst 33342 staining.Scale bar = 10 £gm.
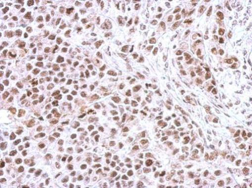
Supportive validation
- Submitted by
- GeneTex (provider)
- Main image

- Experimental details
- Immunohistochemical analysis of paraffin-embedded HeLa xenograft, using Chk1 (phospho Ser345) (GTX100065) antibody at 1:500 dilution.
- Submitted by
- GeneTex (provider)
- Main image

- Experimental details
- Chk1 (phospho Ser345) antibody [C1C2], Internal detects Chk1 (phospho Ser345) protein at nucleus on mouse colon by immunohistochemical analysis. Sample: Paraffin-embedded mouse colon. Chk1 (phospho Ser345) antibody [C1C2], Internal (GTX100065) dilution: 1:500.