Antibody data
- Antibody Data
- Antigen structure
- References [0]
- Comments [0]
- Validations
- Western blot [2]
- Immunohistochemistry [2]
- Flow cytometry [1]
Submit
Validation data
Reference
Comment
Report error
- Product number
- NBP2-70454 - Provider product page

- Provider
- Novus Biologicals
- Product name
- Mouse Monoclonal AlphaB Crystallin/CRYAB Antibody
- Antibody type
- Monoclonal
- Description
- Immunogen affinity purified.
- Reactivity
- Human, Rat
- Host
- Mouse
- Isotype
- IgG
- Vial size
- 100 ug
- Concentration
- LYOPH
- Storage
- Store at -20C. Avoid freeze-thaw cycles.
No comments: Submit comment
Supportive validation
- Submitted by
- Novus Biologicals (provider)
- Main image

- Experimental details
- Western Blot: AlphaB Crystallin/CRYAB Antibody (OTI6A9) - Azide and BSA Free [NBP2-70454] - Western blot analysis of extracts (35ug) from 9 different cell lines by using AlphaB Crystallin/CRYAB Antibody (OTI6A9). (HepG2: human; HeLa: human; SVT2: mouse; A549: human; COS7: monkey; Jurkat: human; MDCK: canine; PC12: rat; MCF7: human).
- Submitted by
- Novus Biologicals (provider)
- Main image

- Experimental details
- Western Blot: AlphaB Crystallin/CRYAB Antibody (OTI6A9) - Azide and BSA Free [NBP2-70454] - HEK293T cells were transfected with the pCMV6-ENTRY control (Left lane) or pCMV6-ENTRY CRYAB (Right lane) cDNA for 48 hrs and lysed. Equivalent amounts of cell lysates (5 ug per lane) were separated by SDS-PAGE and immunoblotted with AlphaB Crystallin/CRYAB Antibody (OTI6A9).
Supportive validation
- Submitted by
- Novus Biologicals (provider)
- Main image

- Experimental details
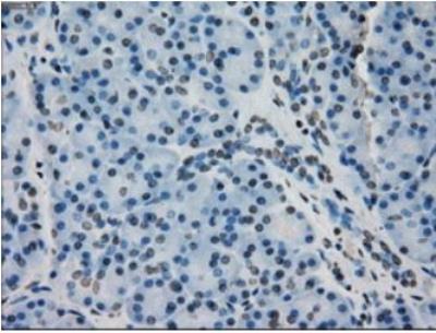
- Immunohistochemistry-Paraffin: AlphaB Crystallin/CRYAB Antibody (OTI6A9) - Azide and BSA Free [NBP2-70454] - Immunohistochemical staining of paraffin-embedded Human pancreas tissue within the normal limits using AlphaB Crystallin/CRYAB Antibody (OTI6A9). (Heat-induced epitope retrieval by 10mM citric buffer, pH6.0, 100 degrees C for 10min, NBP2-70454)
- Submitted by
- Novus Biologicals (provider)
- Main image

- Experimental details
- Immunohistochemistry-Paraffin: AlphaB Crystallin/CRYAB Antibody (OTI6A9) - Azide and BSA Free [NBP2-70454] - Immunohistochemical staining of paraffin-embedded Human endometrium tissue within the normal limits using AlphaB Crystallin/CRYAB Antibody (OTI6A9). (Heat-induced epitope retrieval by 10mM citric buffer, pH6.0, 100 degrees C for 10min, 0454)
Supportive validation
- Submitted by
- Novus Biologicals (provider)
- Main image

- Experimental details
- Flow Cytometry: AlphaB Crystallin/CRYAB Antibody (OTI6A9) - Azide and BSA Free [NBP2-70454] - HEK293T cells transfected with either RC202718 overexpress plasmid (Red) or empty vector control plasmid (Blue) were immunostained by AlphaB Crystallin/CRYAB Antibody (OTI6A9) (NBP2-70454), and then analyzed by flow cytometry.