Antibody data
- Antibody Data
- Antigen structure
- References [0]
- Comments [0]
- Validations
- Western blot [3]
- Immunocytochemistry [1]
- Immunohistochemistry [6]
- Other assay [1]
Submit
Validation data
Reference
Comment
Report error
- Product number
- 16848-1-AP - Provider product page

- Provider
- Invitrogen Antibodies
- Product name
- Cytokeratin 1 Polyclonal Antibody
- Antibody type
- Polyclonal
- Antigen
- Synthetic peptide
- Reactivity
- Human, Mouse, Rat
- Host
- Rabbit
- Isotype
- IgG
- Vial size
- 150 µL
- Concentration
- 0.35 mg/mL
- Storage
- -20°C
No comments: Submit comment
Supportive validation
- Submitted by
- Invitrogen Antibodies (provider)
- Main image

- Experimental details
- A431 cells were subjected to SDS PAGE followed by western blot with 16848-1-AP (Cytokeratin 1-specific antibody) at dilution of 1:500 incubated at room temperature for 1.5 hours.
- Submitted by
- Invitrogen Antibodies (provider)
- Main image

- Experimental details
- A375 cells were subjected to SDS PAGE followed by western blot with 16848-1-AP (Cytokeratin 1-specific antibody) at dilution of 1:300 incubated at room temperature for 1.5 hours.
- Submitted by
- Invitrogen Antibodies (provider)
- Main image

- Experimental details
- Mouse skin tissue were subjected to SDS PAGE followed by western blot with 16848-1-AP ( Cytokeratin 1-specific antibody at dilution of 1:1000 incubated at room temperature for 1.5 hours.
Supportive validation
- Submitted by
- Invitrogen Antibodies (provider)
- Main image

- Experimental details
- Immunofluorescent analysis of A431 cells using 16848-1-AP (Cytokeratin 1-specific antibody) at dilution of 1:50 and Alexa Fluor 488-conjugated AffiniPure Goat Anti-Rabbit IGG (H+L).
Supportive validation
- Submitted by
- Invitrogen Antibodies (provider)
- Main image

- Experimental details
- Immunohistochemistry of paraffin-embedded human lung cancer using 16848-1-AP (Cytokeratin 1-specific antibody) at dilution of 1:50 (under 10x lens).
- Submitted by
- Invitrogen Antibodies (provider)
- Main image

- Experimental details
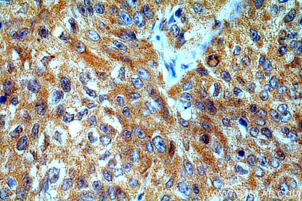
- Immunohistochemistry of paraffin-embedded human lung cancer using 16848-1-AP (Cytokeratin 1-specific antibody) at dilution of 1:50 (under 40x lens).
- Submitted by
- Invitrogen Antibodies (provider)
- Main image

- Experimental details
- Immunohistochemistry of paraffin-embedded human cervix using 16848-1-AP (Cytokeratin 1-specific antibody) at dilution of 1:50 (under 10x lens).
- Submitted by
- Invitrogen Antibodies (provider)
- Main image

- Experimental details
- Immunohistochemistry of paraffin-embedded human cervix using 16848-1-AP (Cytokeratin 1-specific antibody) at dilution of 1:50 (under 40x lens).
- Submitted by
- Invitrogen Antibodies (provider)
- Main image

- Experimental details
- Immunohistochemistry of paraffin-embedded human skin using 16848-1-AP (Cytokeratin 1-specific antibody) at dilution of 1:100 (under 10x lens).
- Submitted by
- Invitrogen Antibodies (provider)
- Main image

- Experimental details
- Immunohistochemistry of paraffin-embedded human skin using 16848-1-AP (Cytokeratin 1-specific antibody) at dilution of 1:100 (under 40x lens).
Supportive validation
- Submitted by
- Invitrogen Antibodies (provider)
- Main image

- Experimental details
- IP result of anti-Cytokeratin 1-specific (IP:16848-1-AP, 3ug; Detection:16848-1-AP 1:500) with A431 cells lysate 3500ug.