Antibody data
- Antibody Data
- Antigen structure
- References [3]
- Comments [0]
- Validations
- Immunohistochemistry [2]
Submit
Validation data
Reference
Comment
Report error
- Product number
- bs-3447R - Provider product page

- Provider
- Bioss
- Proper citation
- Bioss Cat#bs-3447R, RRID:AB_10856368
- Product name
- eNOS (Ser1177) Polyclonal Antibody
- Antibody type
- Polyclonal
- Description
- KLH conjugated synthetic phosphopeptide derived from human eNOS around the phosphorylation site of Ser1177
- Reactivity
- Human, Mouse, Rat, Rabbit
- Host
- Rabbit
- Conjugate
- Unconjugated
- Isotype
- IgG
- Vial size
- 100ul
- Concentration
- 1ug/ul
- Storage
- Aqueous buffered solution containing 1% BSA, 50% glycerol and 0.09% sodium azide. Store at -20°C for 12 months.
Submitted references Indole Compound NC009-1 Augments APOE and TRKA in Alzheimer's Disease Cell and Mouse Models for Neuroprotection and Cognitive Improvement.
Influence of resveratrol on endoplasmic reticulum stress and expression of adipokines in adipose tissues/adipocytes induced by high-calorie diet or palmitic acid.
Berberine exerts renoprotective effects by regulating the AGEs-RAGE signaling pathway in mesangial cells during diabetic nephropathy.
Chen YC, Chiu YJ, Lin CH, Hsu WC, Wu JL, Huang CH, Lin CW, Yao CF, Huang HJ, Lo YS, Chen CM, Wu YR, Chang KH, Lee-Chen GJ, Mei Hsieh-Li H
Journal of Alzheimer's disease : JAD 2019;67(2):737-756
Journal of Alzheimer's disease : JAD 2019;67(2):737-756
Influence of resveratrol on endoplasmic reticulum stress and expression of adipokines in adipose tissues/adipocytes induced by high-calorie diet or palmitic acid.
Chen L, Wang T, Chen G, Wang N, Gui L, Dai F, Fang Z, Zhang Q, Lu Y
Endocrine 2017 Mar;55(3):773-785
Endocrine 2017 Mar;55(3):773-785
Berberine exerts renoprotective effects by regulating the AGEs-RAGE signaling pathway in mesangial cells during diabetic nephropathy.
Qiu YY, Tang LQ, Wei W
Molecular and cellular endocrinology 2017 Mar 5;443:89-105
Molecular and cellular endocrinology 2017 Mar 5;443:89-105
No comments: Submit comment
Supportive validation
- Submitted by
- Bioss (provider)
- Main image

- Experimental details
- Formalin-fixed and paraffin embedded human lung carcinoma labeled with Anti-Phospho-eNOS (Ser1177)Polyclonal Antibody, Unconjugated (bs-3447R) at 1:200 followed by conjugation to the secondary antibody and DAB staining
- Sample type
- Human
- Other comments
- Lung
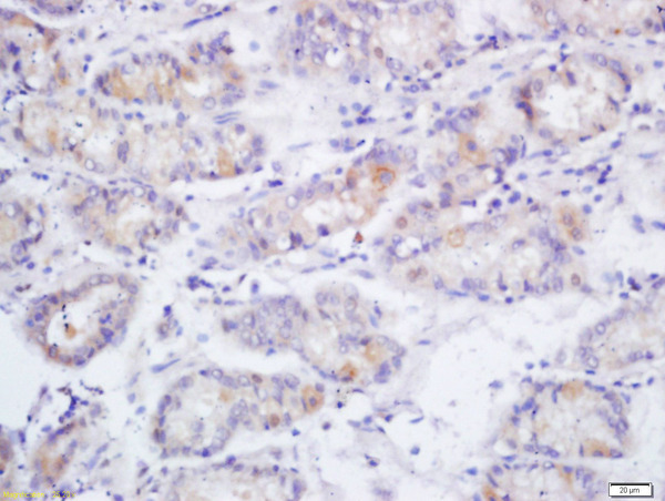
- Submitted by
- Bioss (provider)
- Main image

- Experimental details
- Formalin-fixed and paraffin embedded human gastric cancer labeled with Anti-Phospho-eNOS (Ser1177)Polyclonal Antibody, Unconjugated (bs-3447R) at 1:200 followed by conjugation to the secondary antibody and DAB staining
- Sample type
- Human
- Other comments
- Colon