Antibody data
- Antibody Data
- Antigen structure
- References [1]
- Comments [0]
- Validations
- Immunohistochemistry [1]
Submit
Validation data
Reference
Comment
Report error
- Product number
- PA5-79267 - Provider product page

- Provider
- Invitrogen Antibodies
- Product name
- Filaggrin Polyclonal Antibody
- Antibody type
- Polyclonal
- Antigen
- Recombinant full-length protein
- Description
- Reconstitute with 0.2 mL of distilled water to yield a concentration of 500 µg/mL. Positive Control - WB: 22RV1 whole cell. IHC: human tonsil tissue.
- Reactivity
- Human
- Host
- Rabbit
- Isotype
- IgG
- Vial size
- 100 μg
- Concentration
- 500 μg/mL
- Storage
- -20°C
Submitted references Mutations in ASPRV1 Cause Dominantly Inherited Ichthyosis.
Boyden LM, Zhou J, Hu R, Zaki T, Loring E, Scott J, Traupe H, Paller AS, Lifton RP, Choate KA
American journal of human genetics 2020 Jul 2;107(1):158-163
American journal of human genetics 2020 Jul 2;107(1):158-163
No comments: Submit comment
Supportive validation
- Submitted by
- Invitrogen Antibodies (provider)
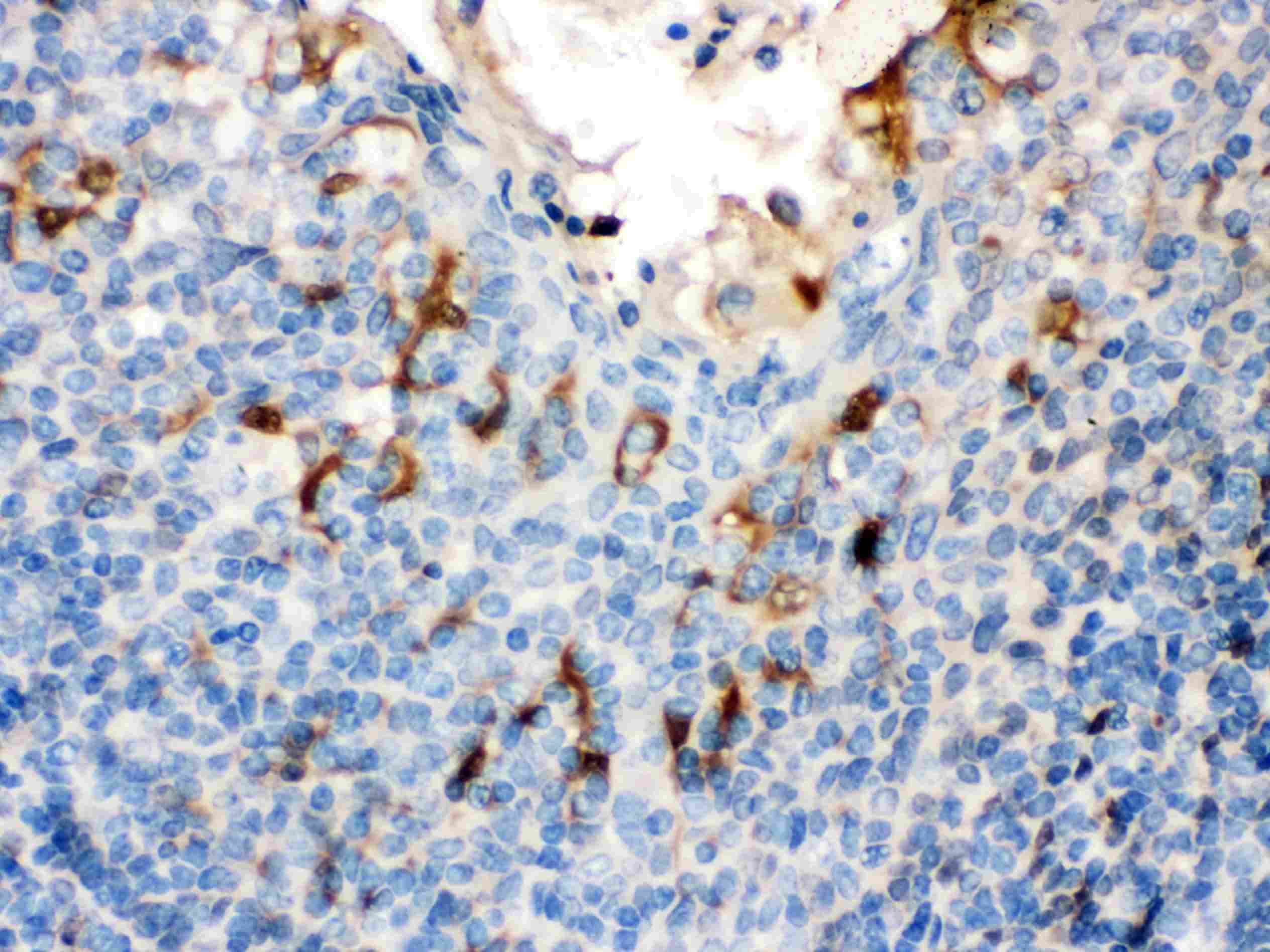
- Main image

- Experimental details
- Immunohistochemistry analysis of Filaggrin on paraffin-embedded human Tonsil tissue. Sample was incubated with Filaggrin polyclonal antibody (Product# PA5-79267) with a dilution of 1 µg/mL, and developed by Streptavidin-Biotin-Complex (SABC) with DAB chromogen method.