Antibody data
- Antibody Data
- Antigen structure
- References [0]
- Comments [0]
- Validations
- Immunohistochemistry [1]
- Other assay [2]
Submit
Validation data
Reference
Comment
Report error
- Product number
- 2312-MSM3-B1 - Provider product page

- Provider
- Invitrogen Antibodies
- Product name
- Filaggrin (Keratinocyte Differentiation Marker) Monoclonal Antibody (FLG/1563), Biotin
- Antibody type
- Monoclonal
- Antigen
- Recombinant protein fragment
- Reactivity
- Human
- Host
- Mouse
- Conjugate
- Biotin
- Isotype
- IgG
- Antibody clone number
- FLG/1563
- Vial size
- 500 µL
- Concentration
- 100 µg/mL
- Storage
- 4° C, store in dark, DO NOT FREEZE!
No comments: Submit comment
Supportive validation
- Submitted by
- Invitrogen Antibodies (provider)
- Main image

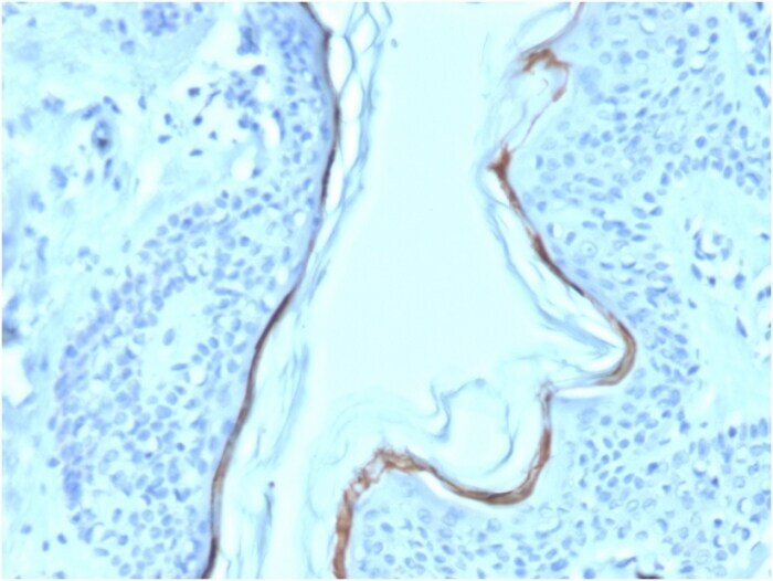
- Experimental details
- Formalin-fixed, paraffin-embedded human skin stained with Biotin-conjugated Filaggrin Mouse Monoclonal Antibody(FLG/1563).
- Conjugate
- Biotin
Supportive validation
- Submitted by
- Invitrogen Antibodies (provider)
- Main image

- Experimental details
- Analysis of Protein Array containing more than 19,000 full-length human proteins using Filaggrin Mouse Monoclonal Antibody (FLG/1563). Z- and S- Score: The Z-score represents the strength of a signal that a monoclonal antibody (MAb) (in combination with a fluorescently-tagged anti-IgG secondary antibody) produces when binding to a particular protein on the HuProtTM array. Z-scores are described in units of standard deviations (SDs) above the mean value of all signals generated on that array. If targets on HuProtTM are arranged in descending order of the Z-score, the S-score is the diFerence (also in units of SDs) between the Z-score. S-score therefore represents the relative target specificity of a MAb to its intended target. A MAb is considered to specific to its intended target, if the MAb has an S-score of at least 2.5. For example, if a MAb binds to protein X with a Z-score of 43 and to protein Y with a Z-score of 14, then the S-score for the binding of that MAb to protein X is equal to 29.
- Conjugate
- Biotin
- Submitted by
- Invitrogen Antibodies (provider)
- Main image

- Experimental details
- SDS-PAGE analysis Purified Filaggrin Mouse Monoclonal Antibody(FLG/1563) (unconjugated). Confirmation of Integrity and Purity of Antibody.
- Conjugate
- Biotin