Antibody data
- Antibody Data
- Antigen structure
- References [2]
- Comments [0]
- Validations
- Immunohistochemistry [2]
Submit
Validation data
Reference
Comment
Report error
- Product number
- bs-0026R - Provider product page

- Provider
- Bioss
- Proper citation
- Bioss Cat#bs-0026R, RRID:AB_10857637
- Product name
- Rabbit Anti-osteopontin Polyclonal Antibody
- Antibody type
- Polyclonal
- Antigen
- osteopontin
- Description
- Purified by Protein A.
- Reactivity
- Mouse, Rat
- Host
- Rabbit
- Conjugate
- Unconjugated
- Isotype
- IgG
- Vial size
- 100ul
- Concentration
- 1ug/ul
- Storage
- Aqueous buffered solution containing 100ug/ml BSA, 50% glycerol and 0.09% sodium azide. Store at -20°C for 12 months.
Submitted references Induced apoptosis of osteoblasts proliferating on polyhydroxyalkanoates.
Expression pattern of embryonic stem cell markers in DFAT cells and ADSCs.
Wang Y, Jiang XL, Peng SW, Guo XY, Shang GG, Chen JC, Wu Q, Chen GQ
Biomaterials 2013 May;34(15):3737-46
Biomaterials 2013 May;34(15):3737-46
Expression pattern of embryonic stem cell markers in DFAT cells and ADSCs.
Gao Q, Zhao L, Song Z, Yang G
Molecular biology reports 2012 May;39(5):5791-804
Molecular biology reports 2012 May;39(5):5791-804
No comments: Submit comment
Supportive validation
- Submitted by
- Bioss (provider)
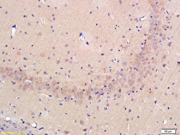
- Main image

- Experimental details
- Formalin-fixed and paraffin-embedded rat hippocampus labeled with Rabbit Anti-OPN Polyclonal Antibody, Unconjugated (bs-0026R) at 1:300 followed by conjugation to the secondary antibody
- Sample type
- Rat
- Other comments
- Brain
- Submitted by
- Bioss (provider)
- Main image

- Experimental details
- Formalin-fixed and paraffin embedded rat shin bone labeled with Anti-Osteopontin Polyclonal Antibody, Unconjugated (bs-0026R) at 1:300 followed by conjugation to the secondary antibody and DAB staining
- Sample type
- Rat
- Other comments
- Bone