Antibody data
- Antibody Data
- Antigen structure
- References [0]
- Comments [0]
- Validations
- Western blot [2]
- Immunohistochemistry [1]
Submit
Validation data
Reference
Comment
Report error
- Product number
- R30503 - Provider product page

- Provider
- NSJ Bioreagents
- Product name
- OPN Antibody / Osteopontin
- Antibody type
- Polyclonal
- Description
- This highly specific OPN antibody is suitable for use in Western blot applications with human samples.
- Reactivity
- Human
- Host
- Rabbit
- Conjugate
- Unconjugated
- Vial size
- 100 ug
- Concentration
- 0.5mg/ml if reconstituted with 0.2ml sterile DI water
- Storage
- After reconstitution, the OPN antibody can be stored for up to one month at 4oC. For long-term, aliquot and store at -20oC. Avoid repeated freezing and thawing.
No comments: Submit comment
Supportive validation
- Submitted by
- NSJ Bioreagents (provider)
- Main image

- Experimental details
- Western blot testing of OPN antibody and Lane 1: MM231; 2: HeLa; 3: Jurkat; 4: COLO320 cell lysate. The glycoprotein is visualized between 44~75.KD
- Submitted by
- NSJ Bioreagents (provider)
- Main image

- Experimental details
- Western blot testing of human HepG2 cell lysate with OPN antibody. Predicted molecular weight ~35 kDa but may be observed at higher molecular weights due to glycosylation.
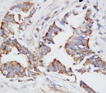
Supportive validation
- Submitted by
- NSJ Bioreagents (provider)
- Main image

- Experimental details
- IHC-P: OPN antibody testing of human breast cancer tissue