Antibody data
- Antibody Data
- Antigen structure
- References [0]
- Comments [0]
- Validations
- Western blot [1]
- Immunohistochemistry [4]
Submit
Validation data
Reference
Comment
Report error
- Product number
- ARG52727 - Provider product page

- Provider
- Arigo
- Product name
- anti-CD22 antibody [SP104] (Ready-to-Use)
- Antibody type
- Monoclonal
- Antigen
- Synthetic peptide corresponding to C-terminus of human CD22.
- Description
- Purified by protein A/G
- Reactivity
- Human
- Host
- Rabbit
- Isotype
- IgG
- Antibody clone number
- SP104
- Vial size
- 7 ml
- Concentration
- Ready to use
- Storage
- Aliquot and store at 2-8°C. Do not freeze. The antibody solution should be gently mixed before use.
- Handling
- The antibody solution should be gently mixed before use.
No comments: Submit comment
Supportive validation
- Submitted by
- Arigo (provider)
- Main image

- Experimental details
- Western Blot: Tonsil stained with CD22 antibody [SP104]
Supportive validation
- Submitted by
- Arigo (provider)
- Main image

- Experimental details
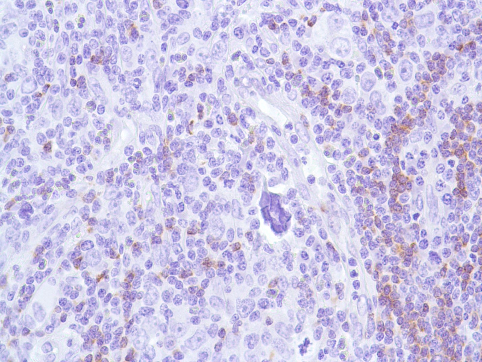
- Immunohistochemistry: Human HK Lymphoma stained with CD22 antibody [SP104] (ARG52726)
- Submitted by
- Arigo (provider)
- Main image

- Experimental details
- Immunohistochemistry: Human Reactive Lymph Node stained with CD22 antibody [SP104] (ARG52726)
- Submitted by
- Arigo (provider)
- Main image

- Experimental details
- Immunohistochemistry: Human Spleen stained with CD22 antibody [SP104] (ARG52726)
- Submitted by
- Arigo (provider)
- Main image

- Experimental details
- Immunohistochemistry: Human Tonsil stained with CD22 antibody [SP104] (ARG52726)