Antibody data
- Antibody Data
- Antigen structure
- References [0]
- Comments [0]
- Validations
- Western blot [3]
- ELISA [3]
- Immunohistochemistry [2]
Submit
Validation data
Reference
Comment
Report error
- Product number
- LS-C191874 - Provider product page

- Provider
- LSBio
- Product name
- IL2RA / CD25 Antibody (aa34-139, clone 1B5D12) LS-C191874
- Antibody type
- Monoclonal
- Description
- Purified
- Reactivity
- Human, Mouse, Rat, Simian
- Host
- Mouse
- Isotype
- IgG
- Antibody clone number
- 1B5D12
- Storage
- Short term: store at 4°C. Long term: store at -20°C. Avoid freeze-thaw cycles.
No comments: Submit comment
Enhanced validation
- Submitted by
- LSBio (provider)
- Enhanced method
- Genetic validation
- Main image

- Experimental details
- Western blot using IL2RA monoclonal antibody against human IL2RA recombinant protein. (Expected MW is 37.5 kDa)
- Submitted by
- LSBio (provider)
- Enhanced method
- Genetic validation
- Main image

- Experimental details
- Western blot using IL2RA monoclonal antibody against HEK293 (1) and IL2RA (AA: 34-139)-hIgGFc transfected HEK293 (2) cell lysate.
- Submitted by
- LSBio (provider)
- Enhanced method
- Genetic validation
- Main image

- Experimental details
- Western blot using IL2RA mouse monoclonal antibody against HeLa (1), MOLT4 (2), HEK293 (3), A549 (4), Jurkat (5), K562 (6), Cos7 (7), PC-12 (8) and NIH/3T3 (9) cell lysate.
Supportive validation
- Submitted by
- LSBio (provider)
- Enhanced method
- Genetic validation
- Main image

- Experimental details
- Red: Control Antigen (100ng); Purple: Antigen (10ng); Green: Antigen (50ng); Blue: Antigen (100ng);
- Submitted by
- LSBio (provider)
- Main image

- Experimental details
- Red: Control Antigen (100ng); Purple: Antigen (10ng); Green: Antigen (50ng); Blue: Antigen (100ng);
- Submitted by
- LSBio (provider)
- Main image

- Experimental details
- Red: Control Antigen (100ng); Purple: Antigen (10ng); Green: Antigen (50ng); Blue: Antigen (100ng);
Supportive validation
- Submitted by
- LSBio (provider)
- Enhanced method
- Genetic validation
- Main image

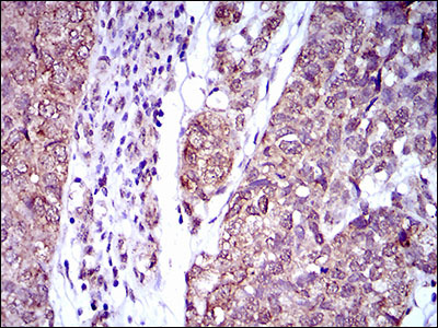
- Experimental details
- IHC of paraffin-embedded rectum cancer tissues using IL2RA mouse monoclonal antibody with DAB staining.
- Submitted by
- LSBio (provider)
- Enhanced method
- Genetic validation
- Main image

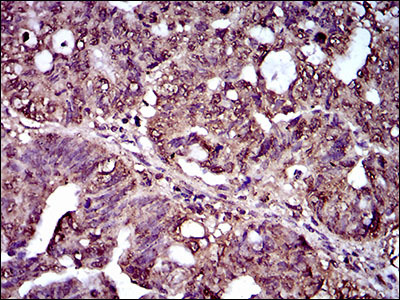
- Experimental details
- IHC of paraffin-embedded bladder cancer tissues using IL2RA mouse monoclonal antibody with DAB staining.