Antibody data
- Antibody Data
- Antigen structure
- References [5]
- Comments [0]
- Validations
- Western blot [1]
- Immunohistochemistry [1]
- Flow cytometry [1]
Submit
Validation data
Reference
Comment
Report error
- Product number
- AF838 - Provider product page

- Provider
- Novus Biologicals
- Product name
- Goat Polyclonal 4-1BB/TNFRSF9/CD137 Antibody
- Antibody type
- Polyclonal
- Description
- Antigen Affinity-purified. Detects 4-1BB/TNFRSF9/CD137 in direct ELISAs and Western blots. In sandwich immunoassays, less than 0.1% cross-reactivity with recombinant mouse (rm) 4-1BB, recombinant human (rh) NGF R, rhTNF RI and rhTNF RII is observed.
- Reactivity
- Human
- Host
- Goat
- Conjugate
- Unconjugated
- Isotype
- IgG
- Vial size
- 100 ug
- Concentration
- LYOPH
- Storage
- Use a manual defrost freezer and avoid repeated freeze-thaw cycles. 12 months from date of receipt, -20 to -70 degreesC as supplied. 1 month, 2 to 8 degreesC under sterile conditions after reconstitution. 6 months, -20 to -70 degreesC under sterile conditions after reconstitution.
Submitted references Anti-CD137 monoclonal antibody enhances trastuzumab-induced, natural killer cell-mediated cytotoxicity against pancreatic cancer cell lines with low human epidermal growth factor-like receptor 2 expression.
Targeting peripheral blood pro-inflammatory cytotoxic lymphocytes by inhibiting CD137 expression: novel potential treatment for COPD.
4-1BB is superior to CD28 costimulation for generating CD8+ cytotoxic lymphocytes for adoptive immunotherapy.
4-1BB is superior to CD28 costimulation for generating CD8+ cytotoxic lymphocytes for adoptive immunotherapy.
Functional expression of 4-1BB (CD137) in the inflammatory tissue in Crohn's disease.
Masu T, Atsukawa M, Nakatsuka K, Shimizu M, Miura D, Arai T, Harimoto H, Kondo C, Kaneko K, Futagami S, Kawamoto C, Takahashi H, Iwakiri K
PloS one 2018;13(12):e0200664
PloS one 2018;13(12):e0200664
Targeting peripheral blood pro-inflammatory cytotoxic lymphocytes by inhibiting CD137 expression: novel potential treatment for COPD.
Hodge G, Holmes M, Jersmann H, Reynolds PN, Hodge S
BMC pulmonary medicine 2014 May 15;14:85
BMC pulmonary medicine 2014 May 15;14:85
4-1BB is superior to CD28 costimulation for generating CD8+ cytotoxic lymphocytes for adoptive immunotherapy.
Zhang H, Snyder KM, Suhoski MM, Maus MV, Kapoor V, June CH, Mackall CL
Journal of immunology (Baltimore, Md. : 1950) 2007 Oct 1;179(7):4910-8
Journal of immunology (Baltimore, Md. : 1950) 2007 Oct 1;179(7):4910-8
4-1BB is superior to CD28 costimulation for generating CD8+ cytotoxic lymphocytes for adoptive immunotherapy.
Zhang H, Snyder KM, Suhoski MM, Maus MV, Kapoor V, June CH, Mackall CL
Journal of immunology (Baltimore, Md. : 1950) 2007 Oct 1;179(7):4910-8
Journal of immunology (Baltimore, Md. : 1950) 2007 Oct 1;179(7):4910-8
Functional expression of 4-1BB (CD137) in the inflammatory tissue in Crohn's disease.
Maerten P, Geboes K, De Hertogh G, Shen C, Cadot P, Bullens DM, Van Assche G, Penninckx F, Rutgeerts P, Ceuppens JL
Clinical immunology (Orlando, Fla.) 2004 Sep;112(3):239-46
Clinical immunology (Orlando, Fla.) 2004 Sep;112(3):239-46
No comments: Submit comment
Supportive validation
- Submitted by
- Novus Biologicals (provider)
- Main image

- Experimental details
- Detection of Human 4-1BB/TNFRSF9/ CD137 by Western Blot. Western blot shows lysates of HEK293T human embryonic kidney cell line either mock transfected or transfected with human 4-1BB/TNFRSF9/ CD137. PVDF membrane was probed with 0.5 µg/mL of Goat Anti-Human 4-1BB/ TNFRSF9/CD137 Antigen Affinity-purified Polyclonal Antibody (Catalog # AF838) followed by HRP-conjugated Anti-Goat IgG Secondary Antibody (Catalog # HAF017). A specific band was detected for 4-1BB/ TNFRSF9/CD137 at approximately 50-65 kDa (as indicated). This experiment was conducted under reducing conditions and using Immunoblot Buffer Group 1.
Supportive validation
- Submitted by
- Novus Biologicals (provider)
- Main image

- Experimental details
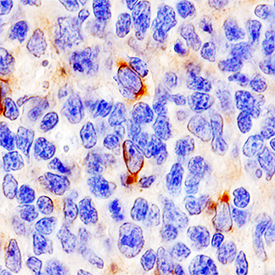
- 4-1BB/TNFRSF9/CD137 in Human Tonsil. 4-1BB/TNFRSF9/CD137 was detected in immersion fixed paraffin-embedded sections of human tonsil using Goat Anti-Human 4-1BB/TNFRSF9/CD137 Antigen Affinity-purified Polyclonal Antibody (Catalog # AF838) at 10 µg/mL overnight at 4 °C. Tissue was stained using the Anti-Goat HRP-DAB Cell & Tissue Staining Kit (brown; Catalog # CTS008) and counterstained with hematoxylin (blue). Specific staining was localized to lymphocytes. View our protocol for Chromogenic IHC Staining of Paraffin-embedded Tissue Sections.
Supportive validation
- Submitted by
- Novus Biologicals (provider)
- Main image

- Experimental details
- Detection of 4-1BB/TNFRSF9/CD137 in PHA-treated Human T Cells by Flow Cytometry. Human T cells were treated for 48 hours with 5 μg/mL PHA then stained with Goat Anti-Human 4-1BB/TNFRSF9/ CD137 Antigen Affinity-purified Polyclonal Antibody (Catalog # AF838) followed by Allophycocyanin-conjugated Anti-Goat IgG Secondary Antibody (Catalog # F0108) and PE-conjugated anti-human CD3 (Catalog # FAB100P). Quad marker was set based on control antibody (Catalog # AB-108-C) staining.