Antibody data
- Antibody Data
- Antigen structure
- References [0]
- Comments [0]
- Validations
- Western blot [1]
- Immunocytochemistry [1]
- Immunohistochemistry [5]
Submit
Validation data
Reference
Comment
Report error
- Product number
- GTX84804 - Provider product page

- Provider
- GeneTex
- Proper citation
- GeneTex Cat#GTX84804, RRID:AB_10726830
- Product name
- CD147 antibody [3E9]
- Antibody type
- Monoclonal
- Reactivity
- Human
- Host
- Mouse
- Storage
- For short-term storage, store at 4¢XC or aliquot into working amounts and store at -20¢XC. For long-term storage, store at -70¢XC (aliquotted). Avoid repeated freeze-thaw cycles.
No comments: Submit comment
Supportive validation
- Submitted by
- GeneTex (provider)
- Main image

- Experimental details
- HEK293T cells were transfected with the pCMV6-ENTRY control (Left lane) or pCMV6-ENTRY BSG (Right lane) cDNA for 48 hrs and lysed. Equivalent amounts of cell lysates (5 ug per lane) were separated by SDS-PAGE and immunoblotted with anti-BSG.
Supportive validation
- Submitted by
- GeneTex (provider)
- Main image

- Experimental details
- Anti-BSG mouse monoclonal antibody (GTX84804) immunofluorescent staining of COS7 cells transiently transfected with BSG
Supportive validation
- Submitted by
- GeneTex (provider)
- Main image

- Experimental details
- Immunohistochemical staining of paraffin-embedded Kidney tissue using anti-BSG mouse monoclonal antibody. (GTX84804, Dilution 1:50)
- Submitted by
- GeneTex (provider)
- Main image

- Experimental details
- Immunohistochemical staining of paraffin-embedded liver tissue using anti-BSG mouse monoclonal antibody. (GTX84804, Dilution 1:50)
- Submitted by
- GeneTex (provider)
- Main image

- Experimental details
- Immunohistochemical staining of paraffin-embedded prostate tissue using anti-BSG mouse monoclonal antibody. (GTX84804, Dilution 1:50)
- Submitted by
- GeneTex (provider)
- Main image

- Experimental details
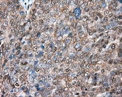
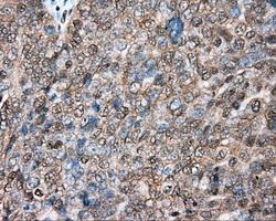
- Immunohistochemical staining of paraffin-embedded Adenocarcinoma of ovary tissue N93ing anti-BSG mouse monoclonal antibody. (GTX84804, Dilution 1:50)
- Submitted by
- GeneTex (provider)
- Main image

- Experimental details
- Immunohistochemical staining of paraffin-embedded colon tissue using anti-BSG mouse monoclonal antibody. (GTX84804, Dilution 1:50)